院内ブログBlog
院内ブログBlog
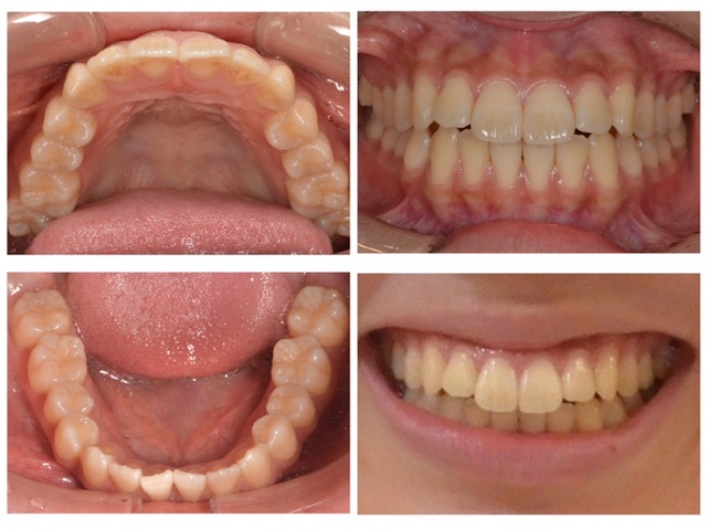
主訴・術前
歯並びを治したい

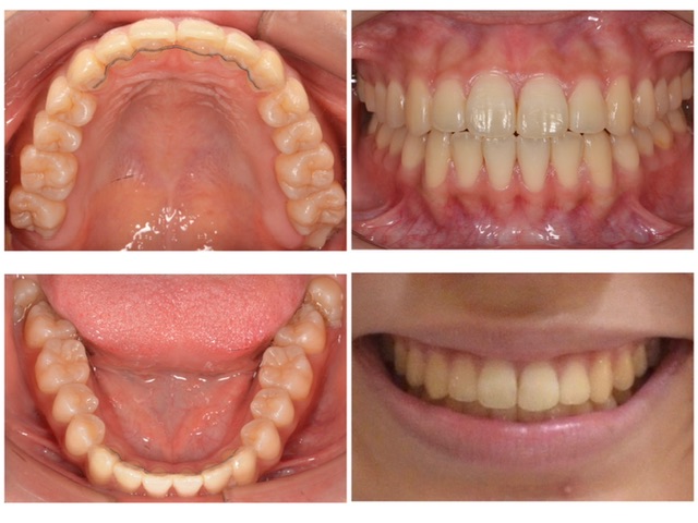
術後の患者様の感想
綺麗な歯並びになって嬉しいです。
舌癖について先生から何度も指導していただき、いつも頑張っています。今後も綺麗な歯並びを保てるよう、舌癖に気をつけ努力したいと思います。

治療情報
| 主訴 | 歯並びを治したい |
| 診断名 | 叢生 |
| 年齢 | 10代女性 |
| 治療方法 | 矯正治療 |
| 抜歯部位 | 非抜歯 |
| 治療期間 | 1年7ヵ月 |
| 治療費 | 矯正治療125万円 (全て税別) |
| リスク 副作用 | リテーナー不使用による矯正治療の後戻り 治療終了後のメンテナンス不足による歯周病 |