院内ブログBlog
院内ブログBlog
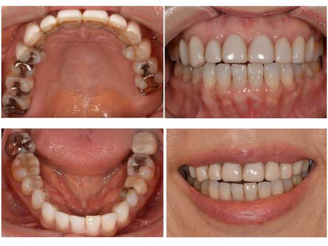
主訴・術前
セラミック、噛み合わせが気になる。

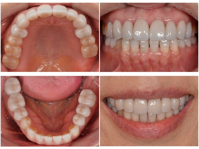
術後の患者様の感想
数年前にマウスピース矯正を行ったのですが、噛み合わせが合っていなく気になっていました。また、10年前に治療したラミネートベニアも劣化して色が気になっていたので、今回こちらで綺麗なセラミックを入れていただけて、とても嬉しいです。
色も自然な透明感のある色で、とても気に入っています。

治療情報
| 主訴 | セラミック、噛み合わせが気になる |
| 診断名 | 審美障害 |
| 年齢 | 60代女性 |
| 治療方法 | セラミック治療 歯周治療 |
| 抜歯部位 | 左下7 |
| 治療期間 | 3ヵ月 |
| 治療費 | セラミック20万円/1本 歯周治療23万円 (全て税別) |
| リスク 副作用 | 治療終了後のメンテナンス不足による歯周病 歯ぎしりや過剰な噛み締めによるセラミックの破損 |