院内ブログBlog
院内ブログBlog
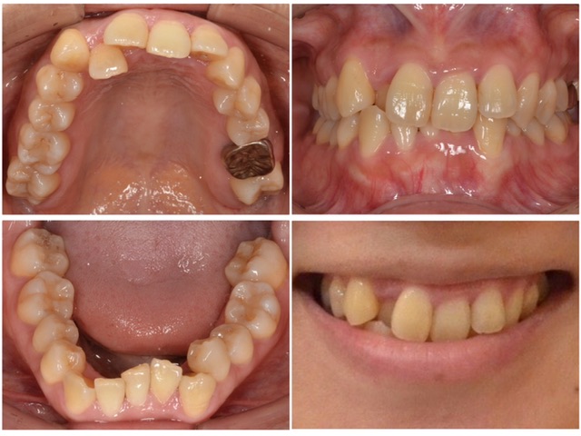
主訴・術前
全体的に綺麗に治したい

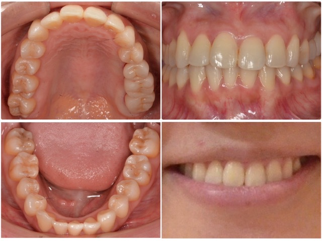
術後の患者様の感想
矯正治療で歯並びが綺麗になっただけでなく、銀歯を外してセラミックに変えたり、ホワイトニングで全体的に白くきれいになった事で顔の印象が凄く変わりとても満足しています。

治療情報
| 主訴 | 全体的に綺麗に治したい |
| 診断名 | 叢生 |
| 年齢 | 30代女性 |
| 治療方法 | 矯正治療 セラミック治療 歯周治療 ホワイトニング |
| 抜歯部位 | 左上6 |
| 治療期間 | 2年4ヵ月 |
| 治療費 | 矯正治療125万円 セラミック20万円/1本 歯周治療23万円 ホワイトニング6万円 (全て税別) |
| リスク 副作用 | リテーナー不使用による矯正治療の後戻り 治療終了後のメンテナンス不足による歯周病 歯ぎしりや過剰な噛み締めによるセラミックの破損 |