院内ブログBlog
院内ブログBlog
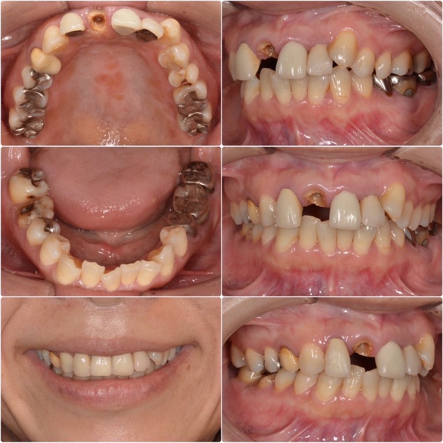
主訴・術前
悪い所は短期間で治療を終了したい

術後の患者様の感想
全体的に治療していただいたのにもかかわらず一年以内に治療が終了して驚きました。
歯周治療では歯の磨き方や道具の使い方など1から教えていただけたので今後も歯磨きを頑張ろうと思います。
仮歯や歯の色の相談などお伝えしたいことは全て聞いて下さり治療の際、安心してお任せすることができました。
インプラントの手術の時も思っていたよりも早く終わり、手術中の先生方の声掛け等も安心することができました。

治療情報
| 主訴 | 悪い所は短期間で治したい |
| 診断名 | 審美障害 |
| 年齢 | 40代女性 |
| 治療方法 | インプラント治療セラミック治療歯周治療 |
| 抜歯部位 | 左下567 |
| 治療期間 | 7か月 |
| 治療費 | インプラント治療 50万円/1本セラミック治療 20万円/1本歯周治療 23万円 (全て税別) |
| リスク 副作用 | 治療終了後のメンテナンス不足による歯周病歯ぎしりや過剰な噛み締めによるセラミックの破損 |