院内ブログBlog
院内ブログBlog
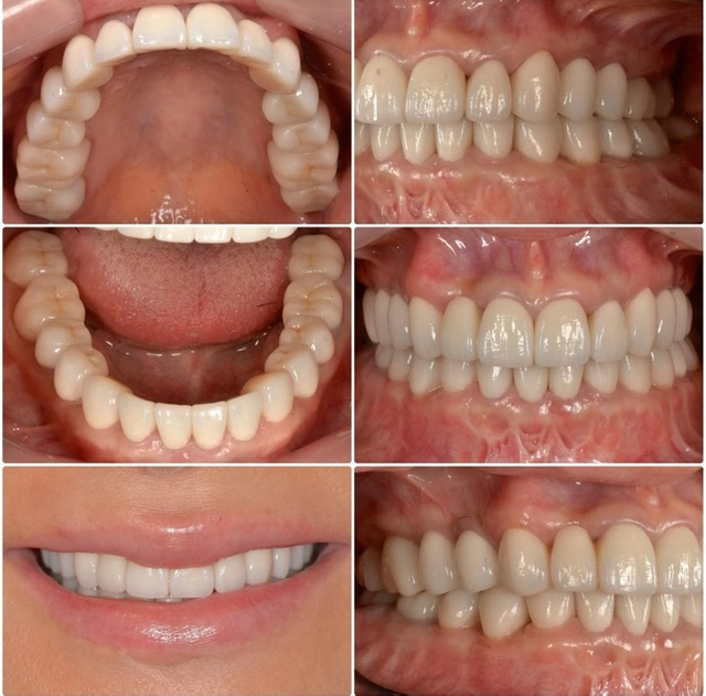
主訴・術前
顎が痛い。前歯が長い。

術後の患者様の感想
長年の悩みだった顎の痛みが無くなり、肩も軽くなりました。
前歯は仮歯で調整したものと同じ長さにしていただき、ホワイトニング色を選んだので色も形も気に入っています。
私の中では、人生が変わる治療でした。

治療情報
| 主訴 | 顎が痛い。前歯が長い。 |
| 診断名 | 審美障害 |
| 年齢 | 40代女性 |
| 治療方法 | セラミック治療・インプラント治療・歯周治療 |
| 抜歯部位 | 非抜歯 |
| 治療期間 | 1年7ヵ月 |
| 治療費 | セラミック20万円/1本インプラント50万円/1本歯周治療23万円 (全て税別) |
| リスク 副作用 | 治療終了後のメンテナンス不足による歯周病歯ぎしりや過剰な噛み締めによるセラミックの破損 |