院内ブログBlog
院内ブログBlog
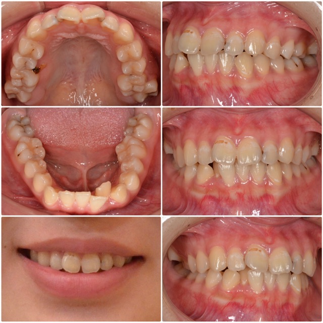
主訴・術前
歯並びが気になる

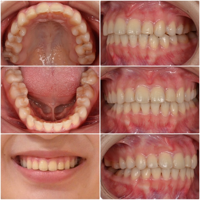
術後の患者様の感想
歯並びのほかにも気になるところがありましたが、院長先生が親身に聞いて下さり矯正のほかにも治したいところが治せたので良かったです。
治療を進めるうえで行ったほうがいい順番で行っていただきその理由等もお話ししながらやっていただけるので安心しました。

治療情報
| 主訴 | 歯並びが気になる |
| 診断名 | 叢生 |
| 年齢 | 20代女性 |
| 治療方法 | セラミック治療 ワイヤー矯正治療 ホワイトニング |
| 抜歯部位 | なし |
| 治療期間 | 1年6カ月 |
| 治療費 | セラミック治療 20万/1本 ワイヤー矯正 125万 ホワイトニング 6万 |
| リスク 副作用 | リテーナー不使用による矯正治療の後戻り歯ぎしりや過剰な噛み締めによるセラミックの破損 |