院内ブログBlog

2025.03.03
全顎かみ合わせ症例。【セラミック治療例】50代女性 i1988.20220902

お知らせ


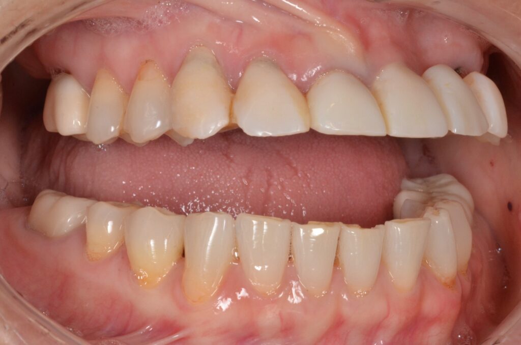
術前・主訴

出っ歯を治したい。

術前顔貌正面
術前顔貌側方
術前側方開口

診断の結果

出っ歯(上顎前突)にも様々な理由があります。こちらの患者様の場合はもともと下顎が出ていたことと、かみ合わせが加齢にしたがい深くなった所にそのまま本歯を装着されていたことが問題です。
重要なのは、かみ合わせを正常な位置まで挙上することです。それにより出っ歯を治すだけではなく潰れてしまった顔貌を戻し、顎関節の負担を軽減できます。

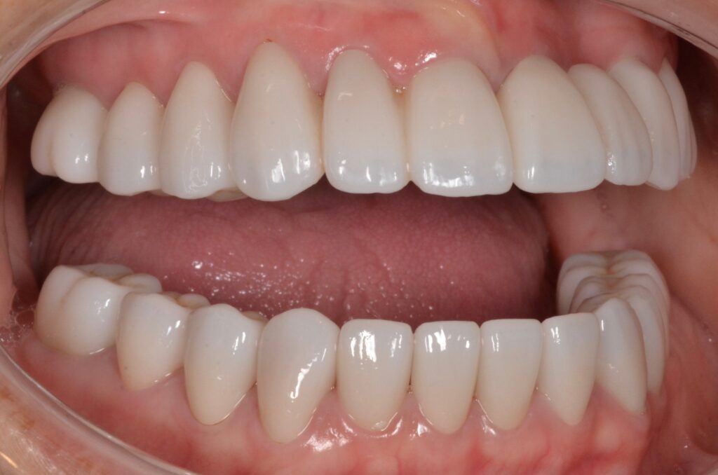
術後・患者様の感想

友人から、とても若くなったねと言われます。顎が楽になり滑舌も良くなりました。

術後顔貌正面
術後顔貌側方
術後側方開口

治療情報

主訴出っ歯を治したい。
診断名審美障害・不正咬合
年齢50代女性
治療方法セラミック治療
抜歯部位非抜歯
治療期間5ヶ月
治療費20万円/1本(税別)
リスク
副作用
治療終了後のメンテナンス不足による歯周病
歯ぎしりや過剰な噛み締めによるセラミックスの破折