院内ブログBlog

2025.03.06
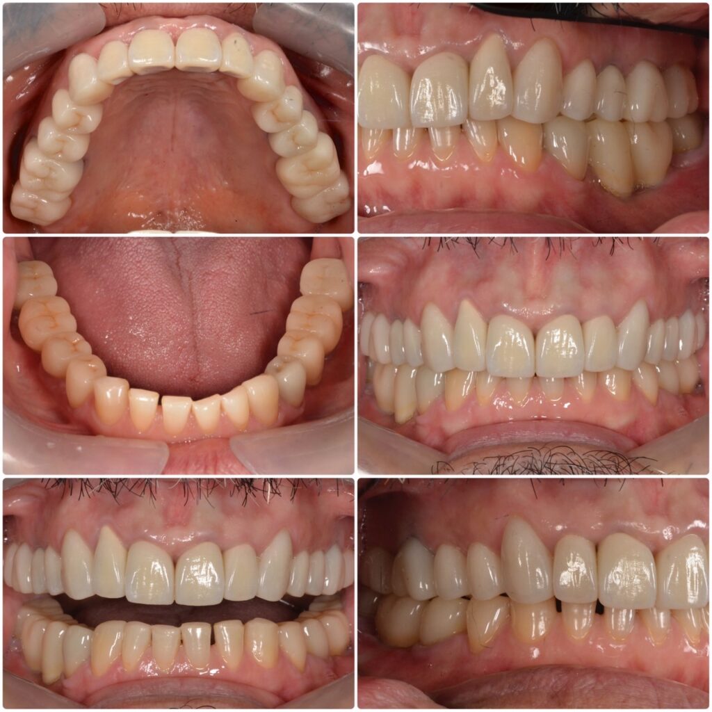
悪い所をすべて治したい 60代男性 2025.3.6

お知らせ

主訴・術前

悪い所をすべて治したい

術後の患者様の感想

今まで、歯が悪いことを自覚しながらも歯医者に行くのを先延ばしにしていましたが、今回、歯を治して本当に良かったと思いました。

先生に治療していただいたおかげです。ありがとうございました。

治療情報

主訴悪い所をすべて治したい
診断名審美障害
年齢60代男性
治療方法セラミック治療
インプラント治療
歯周治療
ホワイトニング
抜歯部位右下5.6
治療期間9ヵ月
治療費セラミック20万円/1本
インプラント50万円/1本
歯周治療23万円
ホワイトニング6万円 (全て税別)
リスク
副作用
      
治療終了後のメンテナンス不足による歯周病
歯ぎしりや過剰な噛み締めによるセラミックの破損