院内ブログBlog
院内ブログBlog
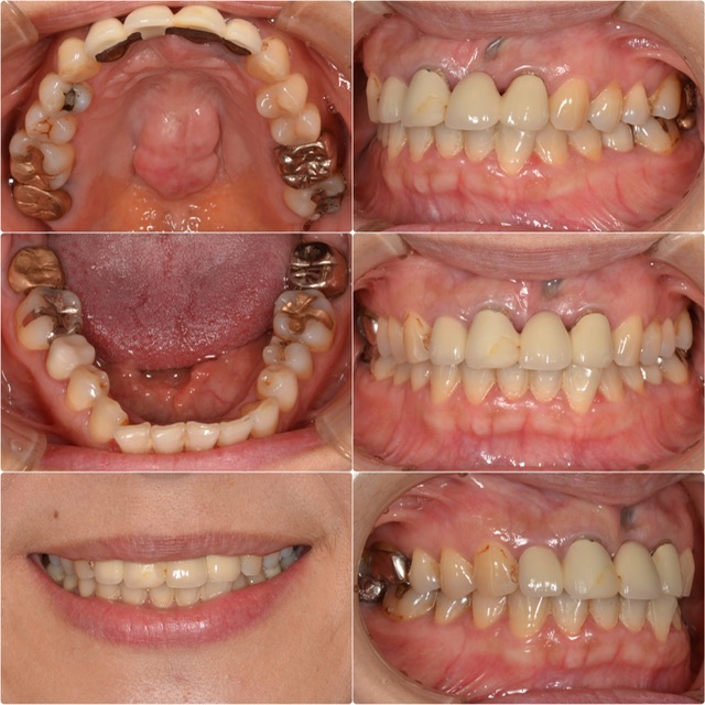
主訴・術前
悪い所はすべて治したい

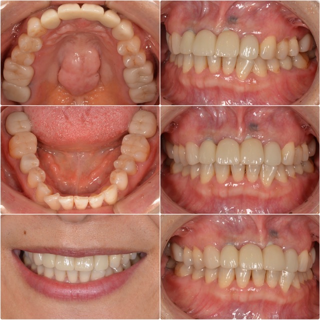
術後の患者様の感想
もともとセラミック治療をしたくてこちらに伺いましたが、
院内もとても綺麗でスタッフの方々や院長先生がとても気さくで
安心して治療を受けることができました。
セラミックもとても綺麗で満足です。今後もメンテナンスに通いたいと思います。

治療情報
| 主訴 | 悪い所はすべて治したい |
| 診断名 | 審美障害 |
| 年齢 | 60代女性 |
| 治療方法 | セラミック治療・インプラント治療・歯周治療 |
| 抜歯部位 | 右上1番・右上2番 |
| 治療期間 | 9ヵ月 |
| 治療費 | セラミック治療20万円/1本インプラント治療50万円/1本(全て税別)歯周治療23万円 |
| リスク 副作用 | 治療終了後のメンテナンス不足による歯周病歯ぎしりや過剰な噛み締めによるセラミックの破損 |