院内ブログBlog
院内ブログBlog
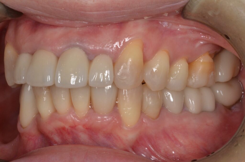
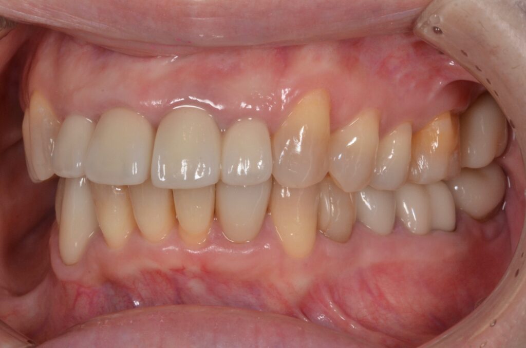
本日は、治療後4年経過した症例です。
インプラント治療とセラミック治療とマウスピース矯正と歯周病治療を当院で治療されました。
毎月欠かさずメンテナンスにいらっしゃって、セルフケアもとてもお上手な方です。
すると、4年経過後は左上最奥歯のインプラントや左下最奥歯の抜歯予定だった歯が以
前より安定しております。(歯茎をみると角化して安定しています!)上前歯も状態の悪い土台でしたがしっかりと保たれ歯茎も下がっていません。
よく、セラミックの歯は何年保ちますかと質問を頂きますが、使い方が良ければその歯
の元々の寿命を全うする事が出来ます!



| 主訴 | 歯をキレイにしたい |
| 診断名 | 審美障害 叢生 |
| 年齢 | 50代女性 |
| 治療方法 | インプラント治療 セラミック治療 マウスピース矯正治療 歯周治療 |
| 抜歯部位 | 右上7 左上7 右下6 |
| 治療期間 | 4年 |
| 治療費 | インプラント治療 50万円/1本 セラミック治療 20万円/1本 マウスピース矯正 125万円 歯周治療23万円 (全て税別) |
| リスク 副作用 | リテーナー不使用による矯正治療の後戻り 歯ぎしりや過剰な噛み締めによるセラミックの破損 |