歯科治療例
採用情報Recruit
症例集Case
院内ブログBlog
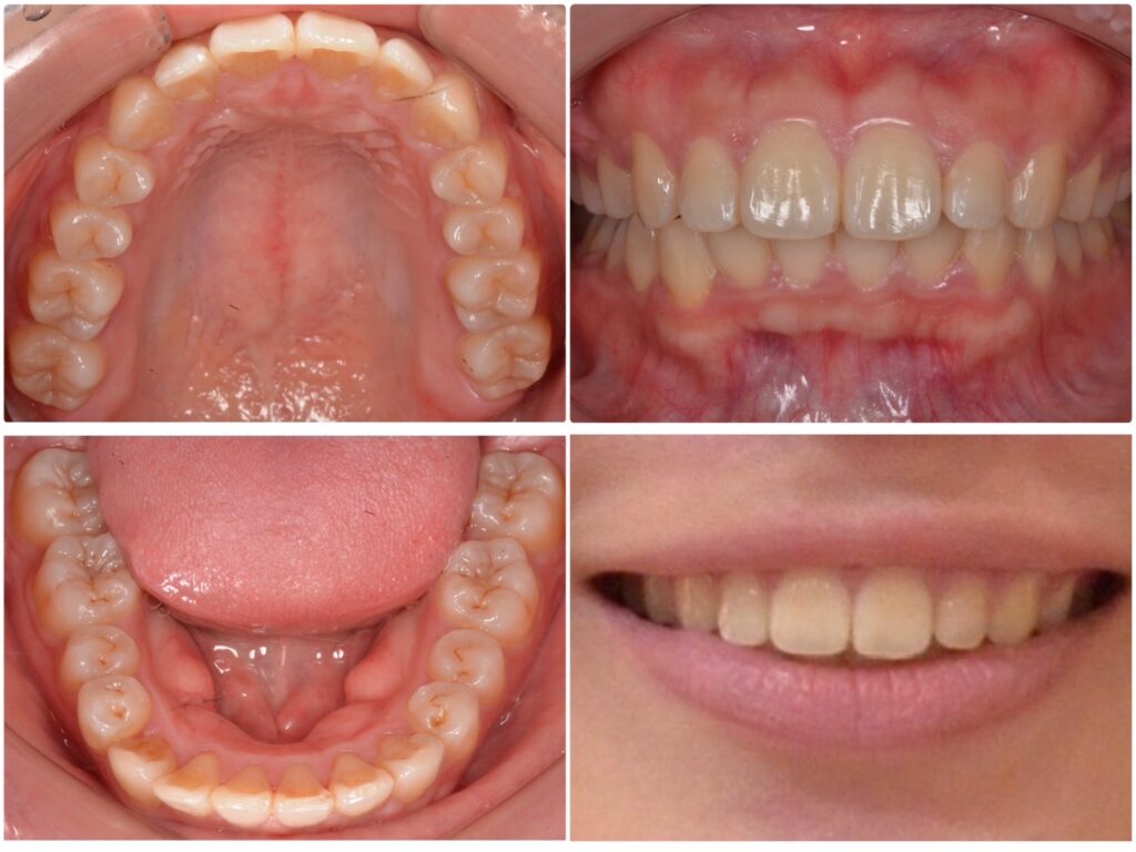
主訴・術前
歯並びを治したい
術後の患者様の感想
設備が綺麗でいつも丁寧にご対応いただき、感謝しています。
下の前歯がガタガタしていたのが改善し、嬉しいです。この歯並びを維持していけるよう頑張りたいです。
治療情報