院内ブログBlog
院内ブログBlog
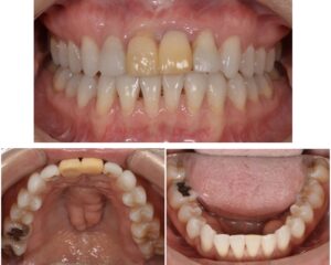
主訴・術前
転倒してしまい将来的な治療をしたい

術後の患者様の感想
転倒して前歯がなく不安だらけでしたが先生をはじめスタッフの方々がサポートしていただいたおかげで不安もどんどんなくなり安心して治療を受けることができました。
また、少しでも気になることや変わったところにすぐ気づいて下さり質問やこうしてほしいということをとても伝えやすかったです。
また、定期的にメンテナンスをして下さるので気になったらすぐに相談できる体制になっているのがとてもいい所だと思います。

治療情報
|
主訴 |
将来的な治療をしたい |
|
診断名 |
審美障害 |
|
年齢 |
40代女性 |
|
治療方法 |
インプラント治療 セラミック治療 矯正治療 ホワイトニング |
|
抜歯部位 |
非抜歯 |
|
治療期間 |
1年2ヶ月 |
|
治療費 |
インプラント治療 52万円/1本 セラミック治療 21万円/1本 矯正治療 125万円〜 ホワイトニング 7万円 |
|
リスク |
リテーナー不使用による矯正治療の後戻り 歯ぎしりや過剰な噛み締めによるセラミックの破損 |