院内ブログBlog
院内ブログBlog

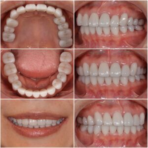
【セレブに選ばれるセラミック治療】
皆様こんにちは。
コンシェルジュの早川です。
〜白い歯にするならセラミックという選択〜
ホワイトニングで満足できない方へ
セラミックという選択肢をおすすめします🦷✨
ただ白いだけじゃない本当に美しい歯を手に入れましょう!😁✨
「ホワイトニングをしても思ったより白くならない」
「前歯の形やバランスも気になる」
そのようなお悩みをお持ちの方に、当院がご提案しているのがセラミック治療です。
◯セラミックが選ばれる理由
セラミックは単に白くするだけではなく、
色・形・バランスをトータルで整えられる治療です。
・理想の白さに調整できる
・透明感があり、天然歯のような自然な仕上がり
・変色しにくく、美しさが長持ち
・歯の形やすき間も同時に改善できる
一度で見た目の印象を大きく変えられるのが最大の特徴です✨
◯ホワイトニングとの違い
ホワイトニングは歯の色を明るくする方法ですが、
セラミックは理想の口元をデザインする治療です。
白さに限界があるのがホワイトニング
確実に美しくしたいならセラミックです!
特に前歯は、ほんのわずかな色や形の違いで印象が大きく変わります。
◯当院のセラミック治療のこだわり
当院では、ただ白くするのではなくお顔全体とのバランスまで考えた上質な仕上がりを大切にしています。
・院内技工士による細やかな色調再現
・スマイルラインを意識した設計
・患者様ごとのご希望に合わせたオーダーメイド
いかにも作り物ではなく、自然で洗練された口元を目指します✨🦷
◯こんな方におすすめ
・前歯の見た目を一気にきれいにしたい
・白さだけでなく形も整えたい
・長く美しさを保ちたい
・人前に立つ機会が多い
理想の口元をつくるという選択肢がセラミックです。
見た目の印象は、想像以上に変わります。
一歩踏み出すことで、自信を持って笑える口元に変わります✨😌
気になる方は、ぜひ一度ご相談くださいませ♪