院内ブログBlog
院内ブログBlog
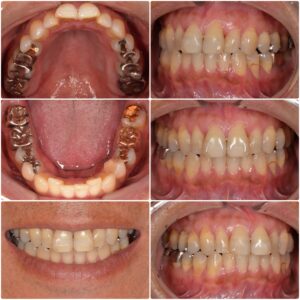
主訴・術前
セラミック希望

術後の患者様の感想
歯を白く綺麗にしたくてこちらに伺いました。
短期間で治療をしていただき、無理なく通うことができました。
今後もメンテナンスでお世話になりたいと思います。
治療情報
|
主訴 |
セラミック希望 |
|
診断名 |
審美障害 |
|
年齢 |
60代男性 |
|
治療方法 |
セラミック治療 歯周治療 |
|
抜歯部位 |
非抜歯 |
|
治療期間 |
2か月 |
|
治療費 |
セラミック21万円/1本 歯周治療25万円 (全て税別) |
|
リスク |
治療終了後のメンテナンス不足による歯周病 歯ぎしりや過剰な噛み締めによるセラミックの破損 |