院内ブログBlog
院内ブログBlog

【富裕層に選ばれるセラミック治療】
皆様、こんにちは。
コンシェルジュの早川です。
本日は仮歯についてです🦷
仮歯のまま放置していませんか?
とりあえず仮歯だから大丈夫、
そう思ってそのままにしてしまっている方、意外と多いです。
ですが、仮歯はあくまで一時的なもの!
長く使い続けることで、さまざまなトラブルにつながる可能性があります🦷⚡️
◯仮歯を長く使うリスク
①汚れがつきやすい
仮歯は素材が粗いため、プラークが付着しやすく
虫歯や歯ぐきの炎症の原因になります。
②外れやすい・割れやすい
強度が弱いため、食事中に外れたり破損する可能性があります。そのままにすると歯が動いてしまうこともあります。
③歯ぐきの状態が悪くなる
フィット感が最終の被せ物より劣るため、歯ぐきが炎症を起こし、腫れたり出血しやすくなります。
④かみ合わせが不安定になる
仮歯は最終的な形ではないため、
長期間使うことで違和感やズレが出ることがあります。
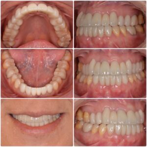
仮歯は最終の被せ物が入るまでの準備期間です。
長期間そのままにせず、適切なタイミングでしっかり仕上げることがお口の健康とキレイさを保つポイントです!😁✨
ちょっと期間あいてしまっている…
という方も大丈夫です。
状態を確認した上で、最適な治療プランをご提案させていただきます。
お気軽にお問い合わせくださいませ🌸