院内ブログBlog
院内ブログBlog
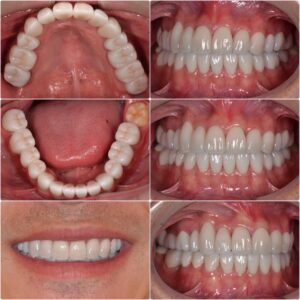
主訴・術前
見た目・歯並びが気になる。

術後の患者様の感想
忙しくて中々歯医者に通う事が出来なかったのですが、
短期間で治療をして下さったので、快適に過ごすことができたので良かったです。
院長先生や皆様が優しく接してくださりとても感謝しております。
歯ブラシ指導も受け、歯ブラシが重要なことに気づきこれからもメンテナンスにしっかりと通いたいと思います。

治療情報
|
主訴 |
見た目・歯並びが気になる |
|
診断名 |
審美障害 |
|
年齢 |
20代男性 |
|
治療方法 |
セラミック治療・歯周治療 |
|
抜歯部位 |
無し |
|
治療期間 |
7ヵ月 |
|
治療費 |
セラミック1本/21万円 歯周治療25万円(全て税別) |
|
リスク |
治療終了後のメンテナンス不足による歯周病 歯ぎしりや過剰な噛み締めによるセラミックの破損 |