院内ブログBlog
院内ブログBlog

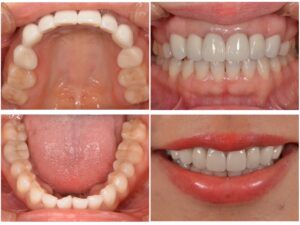
【富裕層に選ばれるセラミック治療】
皆様、こんにちは。
コンシェルジュの早川です🌸
本日はセラミック治療が人気の理由についてです🦷✨✨
詰め物や被せ物をセラミックにしたいとご希望される方が増えています。
その理由は、見た目の美しさだけではありません。
セラミックは天然歯のような透明感があり、
笑ったときの印象を自然に引き上げてくれます。
さらに、変色しにくく、長期間にわたって美しさを保てる点も大きな魅力です。
また、表面が滑らかで汚れが付きにくいため、
虫歯の再発リスクを抑えやすいという特徴もあります。
金属を使用しないため、金属アレルギーの心配がない点も安心材料のひとつです。
一見すると自由診療で費用がかかる印象がありますが、やり直しが少なく、長い目で見ると結果的に負担が少なくなるケースも少なくありません。
見た目の美しさはもちろん、機能性や将来性まで考えた選択として、セラミック治療を選ばれる方が増えています!😁✨
患者様に合った最適な治療方法についても、丁寧にご案内いたします。
気になる方はお気軽にご相談くださいませ🦷🧡