院内ブログBlog
院内ブログBlog
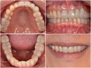
主訴・術前
前歯がぐらぐらする

術後の患者様の感想
前歯がぐらぐらして食事が怖かったのですが、綺麗に治していただき気にせず食べられるようになりました。
ホワイトニングで歯のトーンも上がり満足です。

治療情報
|
主訴 |
前歯がぐらぐらする |
|
診断名 |
審美障害 |
|
年齢 |
60代女性 |
|
治療方法 |
セラミック治療 インプラント治療 歯周治療 ホワイトニング |
|
抜歯部位 |
左上2.3.6.7 |
|
治療期間 |
8ヵ月 |
|
治療費 |
セラミック21万円/1本 インプラント52万円/1本 歯周治療 ホワイトニング7万円 (全て税別) |
|
リスク |
治療終了後のメンテナンス不足による歯周病 歯ぎしりや過剰な噛み締めによるセラミックの破損 |