院内ブログBlog
院内ブログBlog

皆様こんにちは。
コンシェルジュの早川です。
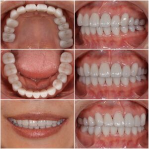
なぜ外資系の人は歯が綺麗なのか?
についてです😁✨✨
外資系企業で働く人ほど、歯並びや歯の色が整っていると感じたことはありませんか?
実はこれには、いくつか明確な理由があります。
① 第一印象=ビジネススキルの一部という考え方
海外では「見た目」も評価の一つ。
清潔感のある口元は、信頼感や自己管理能力の高さを示す重要な要素とされています。
② 自己投資の意識が高い
歯科治療は“医療”であると同時に“投資”という考え方。キャリアや収入に直結する要素として、歯並びや白さにしっかりお金をかける文化があります。
③ 日本より審美歯科が一般的
欧米では、ホワイトニングや矯正、セラミック治療がごく当たり前。
「悪くなったから治す」ではなく「より良くするために整える」という意識が強いのが特徴です。
④ オンライン時代で口元がより目立つ
会議や商談が画面越しになることで、口元の印象はより重要に。細かい部分まで見られる時代だからこそ、意識する人が増えています。
★口元が変わると、印象も人生も変わります
・自信を持って話せる
・笑顔が自然になる
・清潔感が格段に上がる
歯は後回しにされがちですが、
実は最も効果の高い自己投資のひとつです‼️
見た目の変化だけでなく、
振る舞いや表情、そして人からの印象まで大きく変わります。
だからこそ私たちは、
機能性だけでなく美しさにも徹底的にこだわります。
一人ひとりに合わせた最適な治療で、自信の持てる口元へ😁🦷✨
気になる方は、ぜひお気軽にご相談ください🧡