院内ブログBlog
院内ブログBlog

皆様、こんにちは。
コンシェルジュの早川です。
本日は横顔美人についてです✨✨
横顔の美しさは「Eライン(エステティックライン)」で大きく左右されます。
Eラインとは、鼻先とあご先を結んだ直線のことです。
理想的なバランスでは、上下の唇がこのラインの内側から軽く触れる位置にある状態とされています。
ただし、この位置関係は歯並びだけで決まるものではありません。
上顎・下顎の骨格バランス、前歯の傾きや突出量、口元の筋肉の状態などが複雑に関係しています。
例えば、
・上顎前突(出っ歯)→ 上唇が前方に出やすい
・下顎後退 → あごが引っ込み、口元が強調される
・叢生(歯のガタつき)→ 前歯の位置が乱れ、突出感につながる
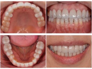
こうした状態は、矯正治療で歯の位置や角度をコントロールすることで改善が可能です。
また軽度の場合は、セラミック治療で形態や位置を整え、審美的バランスを短期間で調整することもできます。
当院では、精密検査をもとに骨格や噛み合わせ、口元全体のバランスまでしっかり診断した上で、お一人おひとりに最適な治療プランをご提案しています。見た目だけでなく、機能面も含めたトータルな改善を大切にしていますので、安心してご相談ください。
横顔は自分では気づきにくいですが、実は第一印象に大きく影響する重要なポイントです✨😁
口元のバランスを整えることで、より自然で洗練された印象へと変わります。
気になる方はお気軽にご相談くださいませ😊✨