院内ブログBlog
院内ブログBlog
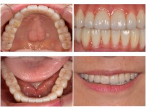
主訴・術前
他院のインプラントをやり直したい

術後の患者様の感想
他院で入れたインプラントが気に入らずやり直したく、こちらに伺いました。
特に前歯の形や色など、完璧で満足しています。
嚙み合わせも整って食事がよりおいしく感じます。
私のこだわりを一つ一つ丁寧に聞いて下さり、本当に感謝しています。ありがとうございました

治療情報
|
主訴 |
他院のインプラントをやり直したい |
|
診断名 |
審美障害 |
|
年齢 |
70代女性 |
|
治療方法 |
インプラント治療 セラミック治療 歯周治療 |
|
抜歯部位 |
右下3.4.5.6.7 左下3 |
|
治療期間 |
1年1ヵ月 |
|
治療費 |
インプラント52万円 セラミック21万円/1本 歯周治療25万円 (全て税別) |
|
リスク |
治療終了後のメンテナンス不足による歯周病 歯ぎしりや過剰な噛み締めによるセラミックの破損 |