院内ブログBlog

2026.04.22
白い歯にする方法 2026.04.22

お知らせ

【セレブに人気のセラミック治療】

皆様、こんにちは。

コンシェルジュの早川です。

白い歯にする方法は主に、ホワイトニング・クリーニング・セラミック治療の3つがあります🦷✨

それぞれ目的と適応が異なるためご紹介していきます!🎶

【ホワイトニング】

薬剤で歯の内部の色素を分解し、トーンアップさせる方法です。

・自然な白さにしたい

・歯を削りたくない

・全体的にくすみが気になる

そんな方に適しています。

※ただし、被せ物や詰め物の色は変わらないため、色の差が出ることがあります。

【クリーニング(PMTC)】

着色やバイオフィルムを除去し、本来の歯の色を取り戻すケアです。

・コーヒーやタバコの着色が気になる

・まずは口腔環境を整えたい

・メンテナンスを重視したい

という方におすすめです。

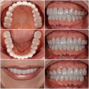
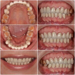
【セラミック治療】

歯の表面を整え、色・形・バランスを総合的に改善する方法です。

・短期間で確実に印象を変えたい

・歯の形や大きさも気になる

・過去の詰め物や変色を一緒に整えたい

そんな方に選ばれています。

当院では、単に白くするだけでなく

噛み合わせ・骨格・歯並びとのバランスまで診断し、長期的に安定する治療をご提案しています。

見た目の美しさと機能性は、どちらも大切です。

ご自身に合った方法を知りたい方は、ぜひ一度ご相談くださいませ🧡✨