院内ブログBlog
院内ブログBlog
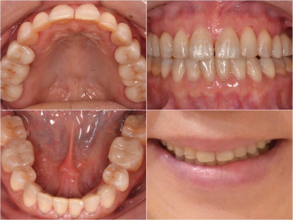
主訴・術前
銀歯が取れて痛い。
人前でお話しする仕事の為、口元の印象が気になる。

診断の結果
下の前歯がガタガタしていて噛みづらくなっており虫歯の進行もあった為、むし歯の治療と矯正治療を同時に行いました。虫歯などをしっかりと治療したためとてもきれいな噛み合わせに改善いたしました。
術後の患者様の感想
銀歯が無くなり口元の印象も変わりました。
歯の矯正は全体的におこなうと思っていましたが部分的に矯正治療ができたので嬉しく思います。
最新の設備でとても丁寧にそしてスピーディーに対応していただき、毎回の治療も快適に通うことができました。
清潔感があり気持ちのいい歯医者です!

治療情報
| 主訴 | 口元の印象が気になる |
| 診断名 | 叢生 |
| 年齢 | 50代女性 |
| 治療方法 | マウスピース矯正治療(IGOシステム) セラミック治療 ホワイトニング |
| 抜歯部位 | 非抜歯 |
| 治療期間 | 2年 |
| 治療費 | 前歯部部分矯正 60万円 セラミック治療 20万円/1本 ホワイトニング 6万円 |
| リスク 副作用 | 治療終了後のメンテナンス不足による歯周病 歯ぎしりや過剰な噛み締めによるセラミックスの破折 |