院内ブログBlog
院内ブログBlog

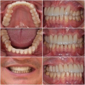
【セレブに選ばれるセラミック治療】
皆様、こんにちは。
コンシェルジュの早川です。
本日は、花粉症と口呼吸の関係についてです🌷
春になるとつらい花粉症ですが…
実は、お口の健康にも影響することをご存じですか?
花粉症で鼻が詰まると、無意識に口呼吸になりやすくなります。
口呼吸が続くと、次のようなリスクがあります。
・お口の中が乾く
・唾液の自浄作用が弱くなる
・虫歯や歯周病になりやすくなる
・口臭の原因になる
本来唾液には、細菌の増殖を抑える・歯を守る
という大切な働きがありますが、口呼吸で乾燥すると、その働きが弱くなってしまいます。
なので花粉症の時期は、普段以上にお口のケアが大切です!🦷🪥✨しっかり行いましょう!
・こまめに水分をとる
・寝る前の丁寧な歯磨き
・フロスや歯間ブラシの使用
・定期的なクリーニング
春はお口のトラブルが増えやすい季節です。
気になることがあればお気軽にご相談くださいませ🌸✨