院内ブログBlog
院内ブログBlog

【モデルに人気のセラミック治療】
皆様、こんにちは。
コンシェルジュの早川です。
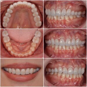
本日は、スマイルラインについてです😁✨
スマイルラインとは、笑顔の際に見える上顎前歯の切縁を結んだラインが、下唇のリップラインに沿って緩やかなカーブを描いている状態を指します。
理想的なスマイルラインは、下唇の曲線と平行かつ調和し、自然で若々しく、上品な印象を与えます。
このバランスが整っている口元は、無意識のうちに「美しい」「感じが良い」と評価されやすく、第一印象にも大きく影響します✨🧡
審美治療や矯正治療では、このスマイルラインを意識し設計を行います。
単に「白い歯」「整った歯並び」にするのではなく、顔全体のバランスの中で笑顔をデザインすることが重要なのです。
実は、なんとなく綺麗に見える口元には、このスマイルラインの調和が大きく関係しています。見えない部分の精密な設計こそが、自然で美しい笑顔をつくる鍵なのです🔑✨
お口元でお悩みをお持ちの方がいらっしゃいましたらお気軽にご相談くださいませ🌸