院内ブログBlog
院内ブログBlog
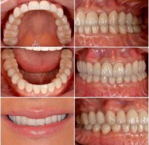
顎が痛い。前歯が長い。

術後の患者様の感想
長年の悩みだった顎の痛みが無くなり、肩も軽くなりました。
前歯は仮歯で調整したものと同じ長さにしていただき、ホワイトニング色を選んだので色も形も気に入っています。
私の中では、人生が変わる治療でした。

治療情報
|
主訴 |
顎が痛い。前歯が長い。 |
|
診断名 |
審美障害 |
|
年齢 |
40代女性 |
|
治療方法 |
セラミック治療・インプラント治療・歯周治療 |
|
抜歯部位 |
非抜歯 |
|
治療期間 |
1年7ヵ月 |
|
治療費 |
セラミック21万円/1本 インプラント52万円/1本 歯周治療25万円 (全て税別) |
|
リスク |
治療終了後のメンテナンス不足による歯周病 歯ぎしりや過剰な噛み締めによるセラミックの破損 |