院内ブログBlog
院内ブログBlog
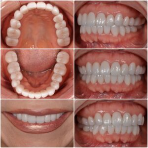
【セレブに選ばれるセラミック治療】
皆様こんにちは。
コンシェルジュの早川です。
出会いの季節に備える審美ケアについてです🌸
人の第一印象は、出会って数秒で決まると言われています。
その中でも大きな影響を与えるのが「口元」です。
会話をするとき、自然と視線は目元と口元を行き来します。
・歯の白さ・歯並びの整い・歯ぐきとのバランス・笑ったときのスマイルライン
これらが整っていると、清潔感・知性・品の良さといった印象につながります🦷✨🧡
特に第一印象で重要なのは
歯・歯肉・唇の調和(スマイルライン)😁✨です。
✔ 歯の縦横比率
✔ 中切歯の位置と角度
✔ 歯肉のライン(ガムライン)
✔ 唇との位置関係
✔ フェイスラインとのバランス
これらが整うことで、自然で品のある印象が生まれます。
当院では、単に白くする・並べるのではなく、
患者様の骨格を診断し笑った時にどう見えるのかなど細かく分析を行い、その方にとってベストな治療を提案させて頂いております。
出会いの季節、春を迎える前に、
お口元のバランスを見直してみませんか?😁✨
まずはカウンセリングにお越しいただければと思いますのでお気軽にお問合せくださいませ🌸
