院内ブログBlog
院内ブログBlog
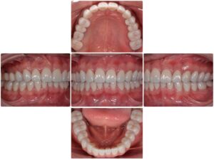
主訴・術前
オールセラミック希望

術後の患者様の感想
忙しく、なかなか通えていませんでしたが、とても丁寧に治療をしてくださり満足しています。
また、院長先生やスタッフの皆様が優しく対応してくださり助かりましたありがとうございました。
今後もメンテナンスを頑張りたいと思います。

治療情報
|
主訴 |
オールセラミック希望 |
|
診断名 |
審美障害 |
|
年齢 |
20代男性 |
|
治療方法 |
インプラント治療・セラミック治療・歯周治療 |
|
抜歯部位 |
なし |
|
治療期間 |
約2年 |
|
治療費 |
インプラント52万円/1洪 セラミック21万円/1本 歯周治療25万円(全て税別) |
|
リスク |
治療終了後のメンテナンス不足による歯周病 歯ぎしりや過剰な噛み締めによるセラミックの破損 |