院内ブログBlog
院内ブログBlog

歯が痛い。歯並びを治したい。
昔から自分の前歯が気になっていた。
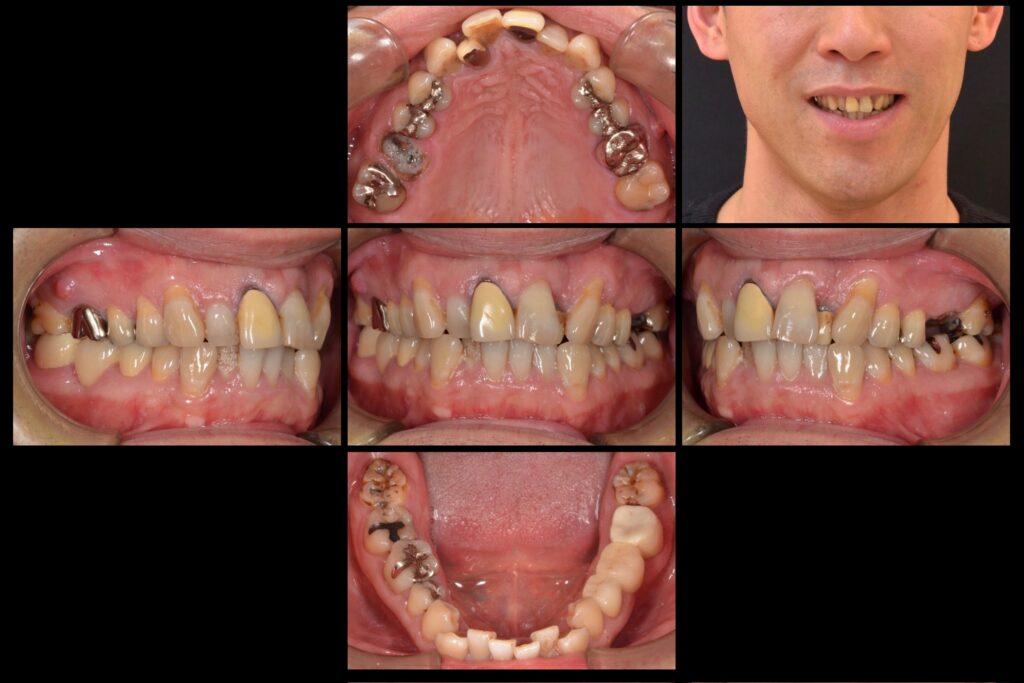
まず、虫歯は治療した箇所の中に出来る2次う蝕でした。特に銀歯は隙間が開きやすく、そこから唾液にのって虫歯菌が侵入し銀歯の下に大きな虫歯を形成します。
また、前歯は凹凸し、内側に引っ込んでる歯もあります。奥歯は本来の顎の大きさより狭くなっており窮屈な状態でした。
治療順序は虫歯治療を行いつつ、矯正治療で歯が揃うスペースを確保して、最後にセラミックで被せます。なるべく残せる歯はのこして治療するためにも矯正治療で正しい位置に戻すことが肝心です。


長年の悩みだった顎の痛みが無くなり、肩も軽くなりました。
前歯は仮歯で調整した物と同じ長さにしていただき、
ホワイトニング色を選んだので色も形も気に入っています。
私の中では、人生が変わる治療でした。
| 主訴 | 虫歯と歯並びを治したい |
| 診断名 | 2次う蝕・不正咬合 |
| 年齢 | 40代男性 |
| 治療方法 | セラミック治療・矯正治療 |
| 抜歯部位 | 左上6番残根抜歯 |
| 治療期間 | 一年 |
| 治療費 | 20万円/1本 |
| リスク 副作用 | 治療終了後のメンテナンス不足による歯周病 歯ぎしりや過剰な噛み締めによるセラミックスの破折や歯の根の再治療 |