院内ブログBlog
院内ブログBlog
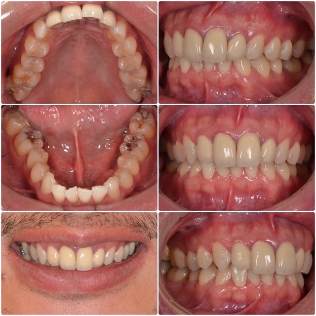
主訴・術前
上顎を10本セラミックにしたい

術後の患者様の感想
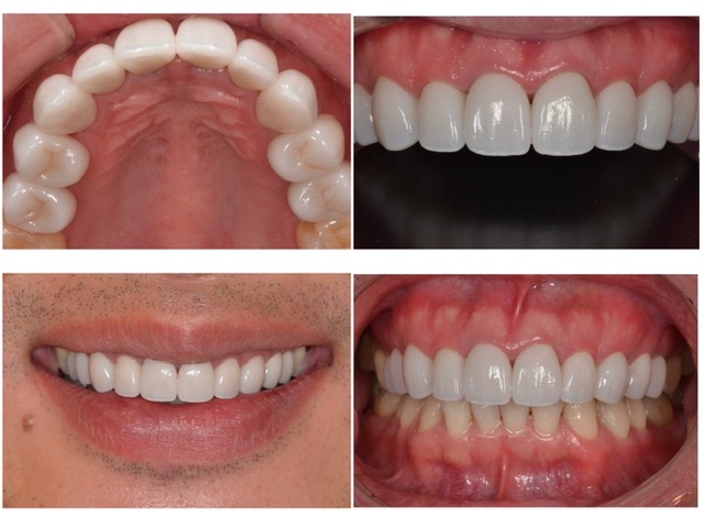
以前、前歯に入れたセラミックの中の金属が変色していたのが気になっていましたが、こちらでオールセラミックに入れ替えて綺麗になりとても嬉しいです。
また、海外から一時帰国中での治療で期間が限られていましたが、まとめて治療を行うなど調整していただき、無事に治療が終了してよかったです。

治療情報
| 主訴 | 上顎を10本セラミックにしたい |
| 診断名 | 審美障害 |
| 年齢 | 30代 |
| 治療方法 | セラミック治療 歯周治療 ホワイトニング |
| 抜歯部位 | 非抜歯 |
| 治療期間 | 1カ月半 |
| 治療費 | セラミック20万円/1本 歯周治療23万円 ホワイトニング 6万円(全て税別) |
| リスク 副作用 | 治療終了後のメンテナンス不足による歯周病 歯ぎしりや過剰な噛み締めによるセラミックの破損 |