院内ブログBlog
院内ブログBlog
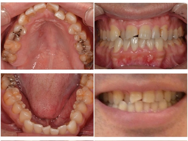
主訴・術前
歯が染みる。
歯並びも悩んでいるのでこの機会に治したい。

診断の結果
矯正治療と並行しながら、むし歯の治療や親しらずの抜歯を行いました。
親しらずは必ずしも抜歯するものではないですが、むし歯になっていたり噛み合わせに影響を及ぼす場合、抜歯することが多いです。
今回は骨格的な問題があったためワイヤー矯正を行いました。
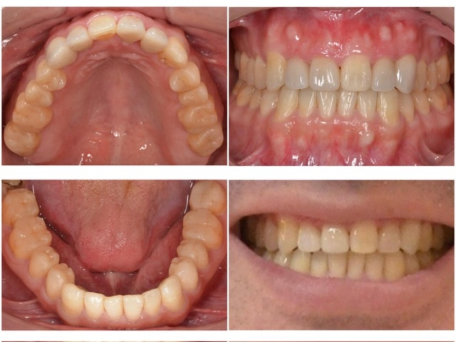
術後の患者様の感想
矯正治療が無事に終わってよかったです。
二年ほど歯が染みることに悩んでいましたがセラミック治療を行い改善することができたのでとても嬉しく思います。
説明もわかりやすく
今後も定期的にクリーニングに通いたいです。

治療情報
| 主訴 | 歯並びを治したい |
| 診断名 | 審美障害・叢生 |
| 年齢 | 40代男性 |
| 治療方法 | ワイヤー矯正治療 セラミック治療 歯周治療 |
| 抜歯部位 | 非抜歯 |
| 治療期間 | 1年 |
| 治療費 | 矯正治療 125万円 セラミック治療 20万円 歯周治療 23万円 全て税別 |
| リスク 副作用 | リテーナーの不使用による矯正治療の後戻り 歯ぎしりや過剰な噛み締めによるセラミックの破損 |