院内ブログBlog
院内ブログBlog

皆様こんにちは。
コンシェルジュの早川です。
今年もあと1か月を切りましたね。
振り返ってみると、本当にあっという間の一年だったように感じます❄️
気温も下がり、街中には少しずつ年末らしい雰囲気が漂い始めましたが、皆様はいかがお過ごしでしょうか😊
☆年末年始を心地よく迎えるために☆
冬季は湿度と気温が低下することで、唾液量が減少しやすく、細菌の繁殖バランスが崩れやすい季節です。そのため、むし歯・歯周病・口臭といったトラブルが一年の中でも進行しやすい時期といわれています。
年末にかけては飲食の機会も増え、お口の中が酸性に傾きやすいため、プロフェッショナルケアで口腔環境を一度リセットしておくことがとても効果的です🦷✨特に歯周組織の炎症は自覚しにくく、定期的なクリーニングで早期に管理することが健康維持につながります!
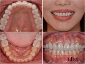
また、12月は人と会う機会や写真撮影が増えるシーズン⭐️オフィスホワイトニングによる明度アップは、短期間で口元の清潔感が高まり、新年を明るい印象で迎えるための人気のケアです🪞✨
一年よく頑張った自分へ、ご褒美のようにお口にも優しいメンテナンスを😁✨
すっきり整った口元で、新しい年を気持ちよく迎えましょう🩵🦷✨