院内ブログBlog
院内ブログBlog
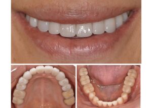
主訴・術前
気になるところをやり直したい

術後の患者様の感想
セラミックやインプラント、歯周治療まで今回悪いところをすべて治療していただき、院長先生やスタッフの方々のおかげで根気強く治療に通うことができました。
歯ブラシ指導など、毎回熱心に行っていただき感謝しています。今後も継続して頑張りたいです。

治療情報
|
主訴 |
気になるところをやり直したい |
|
診断名 |
審美障害 |
|
年齢 |
40代女性 |
|
治療方法 |
インプラント治療 セラミック治療 歯周治療 ホワイトニング |
|
抜歯部位 |
左下5.6.7 右上4.5 |
|
治療期間 |
2年半 |
|
治療費 |
インプラント治療52万円/1本 セラミック治療21万円/1本 歯周治療25万円 ホワイトニング7万円 (全て税別) |
|
リスク |
治療終了後のメンテナンス不足による歯周病 歯ぎしりや過剰な噛み締めによるセラミックの破損 |