院内ブログBlog
院内ブログBlog
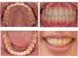
主訴・術前
歯並びを治したい

術後の患者様の感想
以前は噛みにくく食事がしにくかったのが、矯正治療で改善しよりおいしく食事ができるようになりました。抜歯はしたくないという希望を尊重していただき、ここまで綺麗に仕上げていただけて感謝しています。

治療情報
|
主訴 |
歯並びを治したい |
|
診断名 |
叢生 |
|
年齢 |
20代女性 |
|
治療方法 |
矯正治療 |
|
抜歯部位 |
非抜歯 |
|
治療期間 |
1年半 |
|
治療費 |
矯正治療125万円~ (全て税別) |
|
リスク |
リテーナー不使用による矯正治療の後戻り |