院内ブログBlog
院内ブログBlog
皆様こんにちは。
コンシェルジュの早川です。
寒さが本格的になってまいりましたが、皆様はいかがお過ごしでしょうか❄️✨
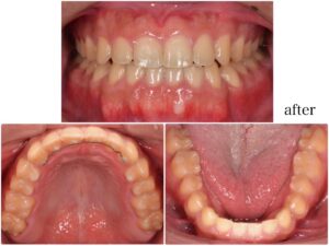
年内に口腔環境を整えて、きれいな口元で新年を迎えませんか?🦷✨
12月も中旬となりましたが、
この時期は「年内のうちに口元を整えておきたい」「来年から本格的に矯正を始めたい」といったご相談が増えています。
矯正治療は、
✔ 歯並び・かみ合わせの改善
✔ 清掃性が良くなり、むし歯・歯周病予防につながる
✔ 口元の印象が整い、笑顔に自信が持てる
といった、見た目だけでなく健康面にも多くのメリットがあります!
年内に
・カウンセリング
・精密検査
・治療計画のご説明
まで進めておくことで、年明けからスムーズに治療をスタートすることが可能です⭐️
是非この機会に一度ご相談くださいませ😊
