03-3585-0081
WEB予約
無料メール相談
公式LINE
ホーム
治療メニュー
症例紹介
当院のご紹介
院長・スタッフ紹介
設備紹介
診療時間・アクセス
Menu
診療時間・アクセス
公式LINE
電話する
お問い合わせ
歯科治療例
医院案内
コンセプト・理念
ビジネスマンや経営者の方へ
モデル・芸能関係の方へ
アスリートの方へ
患者様へのおもてなし
院長・スタッフ紹介
院内紹介
設備紹介
院内技工
治療メニュー
インプラント
審美メニュー
-審美(エステティック)
-オールセラミック
-ヴィーナスベニア
-ホワイトニング
矯正歯科メニュー
-矯正歯科
-小児矯正
-成人矯正(ワイヤー矯正)
-マウスピース型矯正
-部分矯正
歯周病
オーダーメイド歯科
噛み合わせ
ボトックス
予防治療メニュー
-予防治療
-歯科ドック
-歯石取り・クリーニング
痛みの少ないレーザー
虫歯
口腔外科
小児歯科
料金表メニュー
費用・料金表
詰め物・被せ物
矯正歯科
インプラント
ホワイトニング
治療例
治療例一覧
インプラント
矯正歯科
審美歯科
採用情報
Recruit
症例集
Case
院内ブログ
Blog
サイトマップ
お知らせ
Category
ホーム
>
お知らせ
カテゴリ|全て
ブログTOPへ戻る
インプラント|歯科治療例
歯科衛生士の業務
お知らせ
歯科治療例
今週のお花
矯正歯科|歯科治療例
審美治療|歯科治療例
感染予防対策【コロナ等】
設備・機材
院内新聞
活動報告
メディア出演・掲載
コンシェルジュ日誌
歯科技工士の業務
2024.01.25
お知らせ
メタルフリー治療 2024.1.25
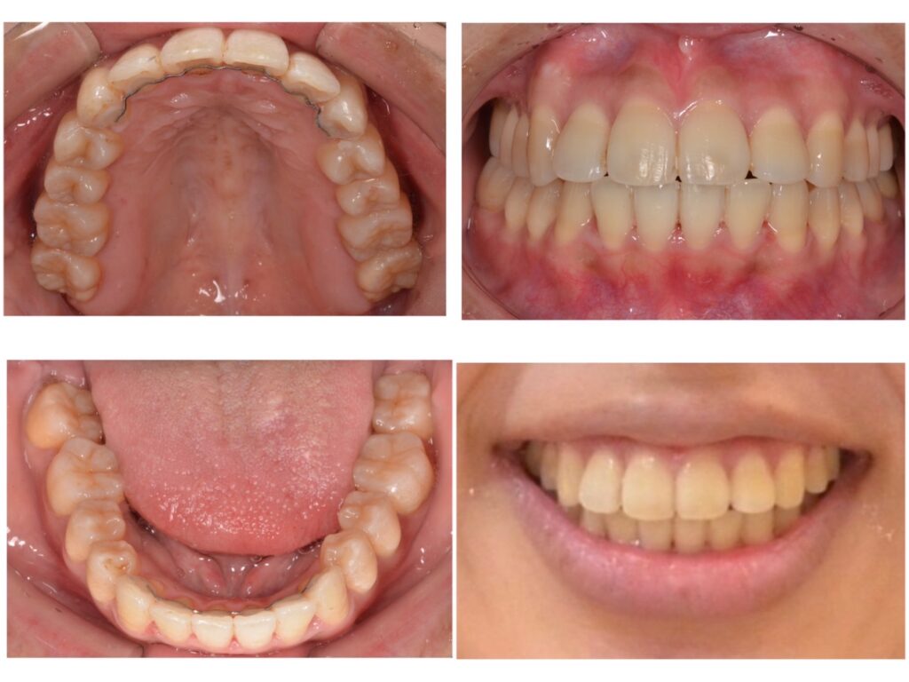
皆様こんにちは😌✨歯科衛生士の太田です! こちらの患者様は、歯並びを治して白い歯にしたいとのことで、当院で矯正治療とセラミック治療を行いました。 初診時は、銀歯が多数見受けられます。当院では金属を使用しないメタ…
続きを読む
2024.01.24
お知らせ
母子伝播2024.01.24
皆様、こんにちは。コンシェルジュの早川です。 皆様は、母子伝播をご存知でしょうか。👶🏻 これはお母さんが持っている細菌やウィルスが胎盤や産道、母乳を通じて胎児や新生児に伝播されることを言います。その伝播にはお…
続きを読む
2024.01.23
お知らせ
人前に出て恥ずかしくないようにしたい 50代男性 2024.1.23
主訴・術前 人前に出て恥ずかしくないようにしたい 術後の患者様の感想 皆様がとても丁寧で嬉しく思います。 すぐにサポートしていただいたりスケジュール調整もすぐに行ってくださったのでとても助かりました。 インプラントに興味はありましたが深い知…
続きを読む
2024.01.19
お知らせ
デーモンシステムについて 2024.1.19
皆様こんにちは😌✨歯科衛生士の太田です。 こちらの患者様は、歯並びを治したいとの事で当院で矯正治療を行いました。 本日は、当院の矯正治療(ワイヤー矯正)で採用している「デーモンシステム」についてお話しいたします…
続きを読む
2024.01.19
お知らせ
人前で笑えない事が悩みの患者様2024.1.19
皆様こんにちは🌷✨歯科衛生士の市川です! こちらの患者様は自分の歯が嫌いで下の前歯が黒く見えて人前で笑えず、噛み合わせが合わず食事が不自由との事でご来院頂きました。 下の前歯以外はメタルボンドクラウンで補綴して…
続きを読む
64 / 117
«
前へ
...
10
20
30
...
62
63
64
65
66
...
70
80
90
...
次へ
»