03-3585-0081
WEB予約
無料メール相談
公式LINE
ホーム
治療メニュー
症例紹介
当院のご紹介
院長・スタッフ紹介
設備紹介
診療時間・アクセス
Menu
診療時間・アクセス
公式LINE
電話する
お問い合わせ
歯科治療例
医院案内
コンセプト・理念
ビジネスマンや経営者の方へ
モデル・芸能関係の方へ
アスリートの方へ
患者様へのおもてなし
院長・スタッフ紹介
院内紹介
設備紹介
院内技工
治療メニュー
インプラント
審美メニュー
-審美(エステティック)
-オールセラミック
-ヴィーナスベニア
-ホワイトニング
矯正歯科メニュー
-矯正歯科
-小児矯正
-成人矯正(ワイヤー矯正)
-マウスピース型矯正
-部分矯正
歯周病
オーダーメイド歯科
噛み合わせ
ボトックス
予防治療メニュー
-予防治療
-歯科ドック
-歯石取り・クリーニング
痛みの少ないレーザー
虫歯
口腔外科
小児歯科
料金表メニュー
費用・料金表
詰め物・被せ物
矯正歯科
インプラント
ホワイトニング
治療例
治療例一覧
インプラント
矯正歯科
審美歯科
採用情報
Recruit
症例集
Case
院内ブログ
Blog
サイトマップ
お知らせ
Category
ホーム
>
お知らせ
カテゴリ|全て
ブログTOPへ戻る
インプラント|歯科治療例
歯科衛生士の業務
お知らせ
歯科治療例
今週のお花
矯正歯科|歯科治療例
審美治療|歯科治療例
感染予防対策【コロナ等】
設備・機材
院内新聞
活動報告
メディア出演・掲載
コンシェルジュ日誌
歯科技工士の業務
2024.01.17
お知らせ
お口の健康2024.01.17
皆様こんにちは。コンシェルジュの早川です。 寒さが一段と厳しくなってまいりましたが、いかがお過ごしでしょうか?☃️ わたしたちは、五感で「味わう」という行為をしていますが、その基礎になるのは、やはりお口の健康です…
続きを読む
2024.01.16
お知らせ
歯の痛みに悩んでいる 40代女性 2024.1.16
主訴・術前 歯の痛みに悩んでいる 術後の患者様の感想 スタッフの方々がとてもやさしくいつも丁寧な言葉を使ってくださるので安心できます。 クリニックはいつも清潔感があり雰囲気がとても良いです。 何より先生がとても丁寧に治療してくださるので安心…
続きを読む
2024.01.12
お知らせ
非抜歯のワイヤー矯正について2024.1.12
皆様こんにちは🌷✨歯科衛生士の市川です! こちらの患者様は歯並びを治して綺麗な白い歯にしたいとの事でご来院頂きました。 歯列がV字になっており噛み合わせが悪く、まずはU字に近づける様にワイヤー矯正を行いました。…
続きを読む
2024.01.11
お知らせ
今年も宜しくお願い申し上げます。2024.01.11
皆様こんにちは。コンシェルジュの早川です。 新年明けましておめでとうございます。本年も宜しくお願い申し上げます。 新年を迎え、感謝の気持ちと、ワクワク感でいっぱいです!今年も一年の目標をしっかり立てて、充実した日々を過ごしたいと思います! …
続きを読む
2024.01.11
お知らせ
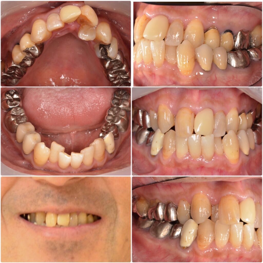
当院のセラミック冠について 2023.1.11
皆様こんにちは😌✨歯科衛生士の太田です。 こちらの患者様は、全体的にボロボロで左でしか噛めず、食事が辛いとのことで当院で矯正、インプラント、セラミック治療を行いました。 本日は、当院で作成しているセラミック冠「…
続きを読む
65 / 117
«
前へ
...
10
20
30
...
63
64
65
66
67
...
70
80
90
...
次へ
»