03-3585-0081
WEB予約
無料メール相談
公式LINE
ホーム
治療メニュー
症例紹介
当院のご紹介
院長・スタッフ紹介
設備紹介
診療時間・アクセス
Menu
診療時間・アクセス
公式LINE
電話する
お問い合わせ
歯科治療例
医院案内
コンセプト・理念
ビジネスマンや経営者の方へ
モデル・芸能関係の方へ
アスリートの方へ
患者様へのおもてなし
院長・スタッフ紹介
院内紹介
設備紹介
院内技工
治療メニュー
インプラント
審美メニュー
-審美(エステティック)
-オールセラミック
-ヴィーナスベニア
-ホワイトニング
矯正歯科メニュー
-矯正歯科
-小児矯正
-成人矯正(ワイヤー矯正)
-マウスピース型矯正
-部分矯正
歯周病
オーダーメイド歯科
噛み合わせ
ボトックス
予防治療メニュー
-予防治療
-歯科ドック
-歯石取り・クリーニング
痛みの少ないレーザー
虫歯
口腔外科
小児歯科
料金表メニュー
費用・料金表
詰め物・被せ物
矯正歯科
インプラント
ホワイトニング
治療例
治療例一覧
インプラント
矯正歯科
審美歯科
採用情報
Recruit
症例集
Case
院内ブログ
Blog
サイトマップ
院内ブログ
Blog
ホーム
>
院内ブログ
院内ブログ
カテゴリ|全て
ブログTOPへ戻る
インプラント|歯科治療例
歯科衛生士の業務
お知らせ
歯科治療例
今週のお花
矯正歯科|歯科治療例
審美治療|歯科治療例
感染予防対策【コロナ等】
設備・機材
院内新聞
活動報告
メディア出演・掲載
コンシェルジュ日誌
歯科技工士の業務
2025.09.03
お知らせ
夏のダメージをリセット! 2025.09.03
【セラミック治療】 皆様こんにちは。 コンシェルジュの早川です。 夏のダメージをリセット! ~秋はお口のメンテナンスに最適な季節~ 夏の暑さで乱れがちだった体調も、この時期に整えたいところですね。お口の中も夏の間にダメージを受けていること、…
続きを読む
2025.08.29
お知らせ
悪い所はすべて治したい2025.8.29
主訴・術前 悪い所はすべて治したい 術後の患者様の感想 悪い所はすべて治したくて伺いました。 他院で治療途中の箇所が何個かあり不安でしたが、先生やスタッフの方々がとても親身になってお話を聞いて下さり安心しました。 これからもメンテナンスでお…
続きを読む
2025.08.29
お知らせ
歯並びを治したい 50代女性 2025.8.29
主訴・術前 歯並びを治したい 術後の患者様の感想 他院では難症例と言われて歯医者を転々としていましたが、こちらでは治療前後のイメージなどもわかりやすく説明していただけて、安心して通う事ができました。 今後は銀歯などもセラミックに変えられたら…
続きを読む
2025.08.28
矯正歯科|歯科治療例
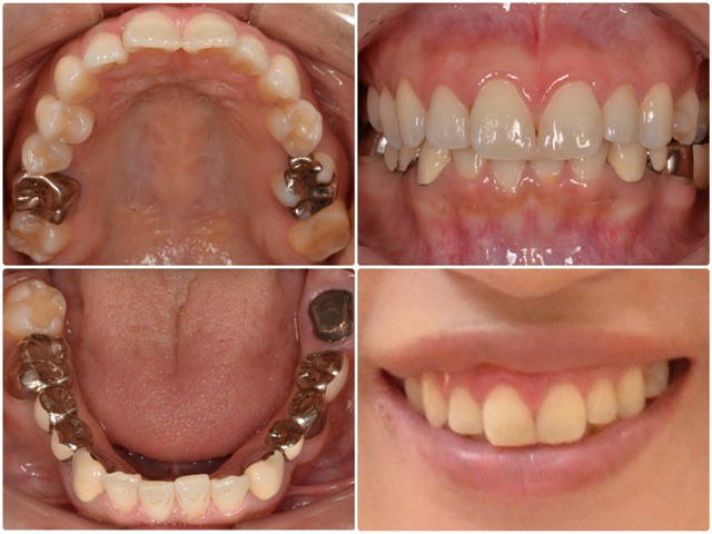
歯並びを治したい。【ワイヤー矯正治療例】10代男性 i427.20130909
主訴・術前 歯並びを治したい。 診断の結果 中切歯2本が後方に傾斜していて側切歯が前方に前突している状態です。 治療法は正確に素早く治療できるワイヤー矯正のデーモンシステムを選択。 下の写真は治療前にどこまで理想的に並ぶかシミュレーションし…
続きを読む
2025.08.28
お知らせ
歯に良い食事 2025.08.28
皆様こんにちは。 コンシェルジュの早川です。 本日は、歯に良い食事についてです。 私たちの歯は、毎日の食生活によって大きな影響を受けています。虫歯や歯周病を防ぐためには、歯みがきや定期検診だけでなく、何を食べるかも重要です。今回は、歯の健康…
続きを読む
10 / 168
«
前へ
...
8
9
10
11
12
...
20
30
40
...
次へ
»