03-3585-0081
WEB予約
無料メール相談
公式LINE
ホーム
治療メニュー
症例紹介
当院のご紹介
院長・スタッフ紹介
設備紹介
診療時間・アクセス
Menu
診療時間・アクセス
公式LINE
電話する
お問い合わせ
歯科治療例
医院案内
コンセプト・理念
ビジネスマンや経営者の方へ
モデル・芸能関係の方へ
アスリートの方へ
患者様へのおもてなし
院長・スタッフ紹介
院内紹介
設備紹介
院内技工
治療メニュー
インプラント
審美メニュー
-審美(エステティック)
-オールセラミック
-ヴィーナスベニア
-ホワイトニング
矯正歯科メニュー
-矯正歯科
-小児矯正
-成人矯正(ワイヤー矯正)
-マウスピース型矯正
-部分矯正
歯周病
オーダーメイド歯科
噛み合わせ
ボトックス
予防治療メニュー
-予防治療
-歯科ドック
-歯石取り・クリーニング
痛みの少ないレーザー
虫歯
口腔外科
小児歯科
料金表メニュー
費用・料金表
詰め物・被せ物
矯正歯科
インプラント
ホワイトニング
治療例
治療例一覧
インプラント
矯正歯科
審美歯科
採用情報
Recruit
症例集
Case
院内ブログ
Blog
サイトマップ
院内ブログ
Blog
ホーム
>
院内ブログ
院内ブログ
カテゴリ|全て
ブログTOPへ戻る
インプラント|歯科治療例
歯科衛生士の業務
お知らせ
歯科治療例
今週のお花
矯正歯科|歯科治療例
審美治療|歯科治療例
感染予防対策【コロナ等】
設備・機材
院内新聞
活動報告
メディア出演・掲載
コンシェルジュ日誌
歯科技工士の業務
2025.02.21
お知らせ
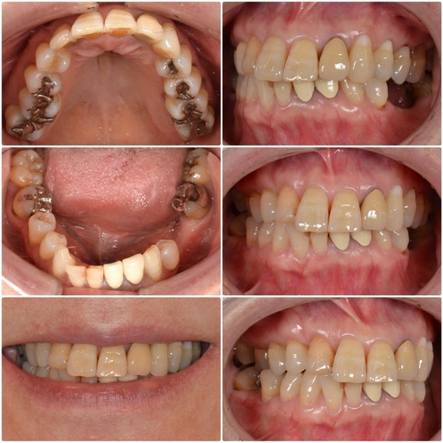
歯並びを治したい2025.2.21
主訴・術前 歯並びを治したい 術後の患者様の感想 審美、機能面ともに10年ほど悩んでおり、このコンプレックスは解消できないと諦めていたところにこのクリニック、先生方に出会いました。悩んでいたコンプレックスはすべて解消され、特に岩城先生の審美…
続きを読む
2025.02.21
お知らせ
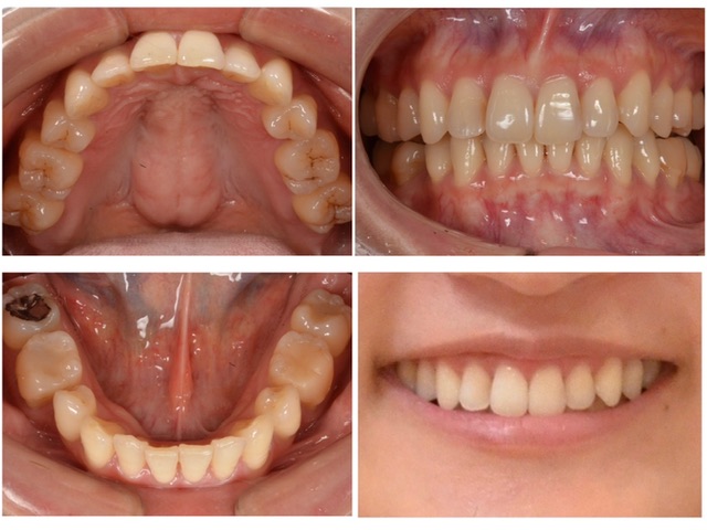
歯並びを治したい 20代女性 2025.2.21
主訴・術前 歯並びを治したい 術後の患者様の感想 設備が綺麗でいつも丁寧にご対応いただき、感謝しています。 下の前歯がガタガタしていたのが改善し、嬉しいです。この歯並びを維持していけるよう頑張りたいです。 治療情報 主訴 歯並びを治したい …
続きを読む
2025.02.20
お知らせ
矯正やセラミック等総合的に相談したい。30代男性 2025.2.20
主訴・術前 矯正やセラミック等総合的に相談したい。 術後の患者様の感想 矯正治療から虫歯治療、歯周治療まで悪い所をすべて治していただき、治療後はお口の環境も良くなりとても気持ちが良いです。 今後はメンテナンスにしっかり通い、綺麗な歯並びを維…
続きを読む
2025.02.19
お知らせ
大切なイベント前におすすめのセラミック治療 2025.02.19
皆様、こんにちは。 コンシェルジュの早川です。 忙しい日々の中で歯並びや歯の色を整える時間を確保するのは難しいと思っている方必見‼️‼️‼️ セラミック治療…
続きを読む
2025.02.19
お知らせ
芸能人が好むセラミック治療 2025.02.19
【芸能人が好むセラミック治療】 皆様こんにちは。コンシェルジュの早川です。 本日は芸能人が好むセラミック治療についてです🦷✨😁 テレビやSNSなどで常に注目を集める芸能人は、完璧な見た目が求めら…
続きを読む
30 / 168
«
前へ
...
10
20
...
28
29
30
31
32
...
40
50
60
...
次へ
»