03-3585-0081
WEB予約
無料メール相談
公式LINE
ホーム
治療メニュー
症例紹介
当院のご紹介
院長・スタッフ紹介
設備紹介
診療時間・アクセス
Menu
診療時間・アクセス
公式LINE
電話する
お問い合わせ
歯科治療例
医院案内
コンセプト・理念
ビジネスマンや経営者の方へ
モデル・芸能関係の方へ
アスリートの方へ
患者様へのおもてなし
院長・スタッフ紹介
院内紹介
設備紹介
院内技工
治療メニュー
インプラント
審美メニュー
-審美(エステティック)
-オールセラミック
-ヴィーナスベニア
-ホワイトニング
矯正歯科メニュー
-矯正歯科
-小児矯正
-成人矯正(ワイヤー矯正)
-マウスピース型矯正
-部分矯正
歯周病
オーダーメイド歯科
噛み合わせ
ボトックス
予防治療メニュー
-予防治療
-歯科ドック
-歯石取り・クリーニング
痛みの少ないレーザー
虫歯
口腔外科
小児歯科
料金表メニュー
費用・料金表
詰め物・被せ物
矯正歯科
インプラント
ホワイトニング
治療例
治療例一覧
インプラント
矯正歯科
審美歯科
採用情報
Recruit
症例集
Case
院内ブログ
Blog
サイトマップ
院内ブログ
Blog
ホーム
>
院内ブログ
院内ブログ
カテゴリ|全て
ブログTOPへ戻る
インプラント|歯科治療例
歯科衛生士の業務
お知らせ
歯科治療例
今週のお花
矯正歯科|歯科治療例
審美治療|歯科治療例
感染予防対策【コロナ等】
設備・機材
院内新聞
活動報告
メディア出演・掲載
コンシェルジュ日誌
歯科技工士の業務
2024.09.04
お知らせ
『歯科技工士記念日』2024.09.04
皆様こんにちは。コンシェルジュの早川です。 暑い夏から秋へバトンタッチする9月。心地よい季節がとても楽しみです😊 さて、9月24日は『歯科技工士記念日』です。🦷 歯科技工士は歯科医師が作成した指示書をもとに、…
続きを読む
2024.09.03
お知らせ
前歯部の歯並びが気になる 50代女性 2024.9.3
主訴・術前 前歯部の歯並びが気になる 術後の患者様の感想 マウスピース矯正やセラミック矯正を行って自分の納得のいく歯並びになることができたので良かったです。 マウスピースに関しては、続けられるか不安でしたが続けることができ、定期的に診ていた…
続きを読む
2024.09.02
お知らせ
悪い所は短期間で治療を終了したい2024.9.2
主訴・術前 悪い所は短期間で治療を終了したい 術後の患者様の感想 全体的に治療していただいたのにもかかわらず一年以内に治療が終了して驚きました。 歯周治療では歯の磨き方や道具の使い方など1から教えていただけたので今後も歯磨きを頑張ろうと思い…
続きを読む
2024.09.02
お知らせ
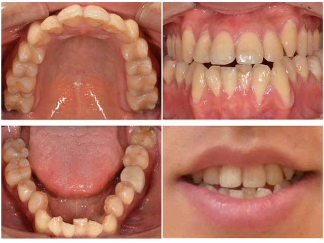
歯並びを治したい 20代男性 2024.9.2
主訴・術前 歯並びを治したい 術後の患者様の感想 院内の清潔感があってとても良かったです。 また、親身で迅速な対応をして下さるのでこちらの要望も伝えやすく、ありがたかったです。 治療情報 主訴 歯並びを治したい 診断名 叢生 年齢 20代男…
続きを読む
2024.08.28
お知らせ
歯周病は怖い 2024.08.28
皆様こんにちは。コンシェルジュの早川です。 本日は歯周病についてです。歯周病は全身の健康と密接な関係があり、とでも怖い病気です。日本人の8割が歯周病に罹患していると言われています。 歯周病菌は、唾液を介して肺に入り込んだり、歯ぐきの中の毛細…
続きを読む
50 / 168
«
前へ
...
10
20
30
...
48
49
50
51
52
...
60
70
80
...
次へ
»