03-3585-0081
WEB予約
無料メール相談
公式LINE
ホーム
治療メニュー
症例紹介
当院のご紹介
院長・スタッフ紹介
設備紹介
診療時間・アクセス
Menu
診療時間・アクセス
公式LINE
電話する
お問い合わせ
歯科治療例
医院案内
コンセプト・理念
ビジネスマンや経営者の方へ
モデル・芸能関係の方へ
アスリートの方へ
患者様へのおもてなし
院長・スタッフ紹介
院内紹介
設備紹介
院内技工
治療メニュー
インプラント
審美メニュー
-審美(エステティック)
-オールセラミック
-ヴィーナスベニア
-ホワイトニング
矯正歯科メニュー
-矯正歯科
-小児矯正
-成人矯正(ワイヤー矯正)
-マウスピース型矯正
-部分矯正
歯周病
オーダーメイド歯科
噛み合わせ
ボトックス
予防治療メニュー
-予防治療
-歯科ドック
-歯石取り・クリーニング
痛みの少ないレーザー
虫歯
口腔外科
小児歯科
料金表メニュー
費用・料金表
詰め物・被せ物
矯正歯科
インプラント
ホワイトニング
治療例
治療例一覧
インプラント
矯正歯科
審美歯科
採用情報
Recruit
症例集
Case
院内ブログ
Blog
サイトマップ
院内ブログ
Blog
ホーム
>
院内ブログ
院内ブログ
カテゴリ|全て
ブログTOPへ戻る
インプラント|歯科治療例
歯科衛生士の業務
お知らせ
歯科治療例
今週のお花
矯正歯科|歯科治療例
審美治療|歯科治療例
感染予防対策【コロナ等】
設備・機材
院内新聞
活動報告
メディア出演・掲載
コンシェルジュ日誌
歯科技工士の業務
2025.05.26
お知らせ
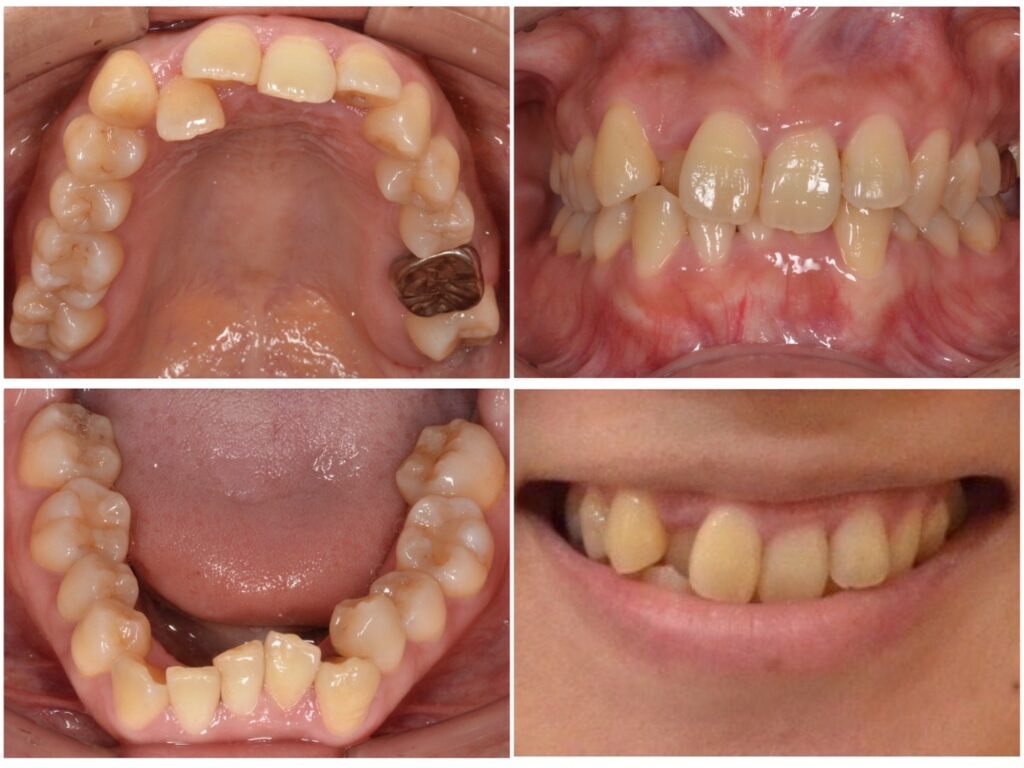
上顎の10本セラミックにしたい2025.5.26
主訴・術前 上顎を10本セラミックにしたい 術後の患者様の感想 以前、前歯に入れたセラミックの中の金属が変色していたのが気になっていましたが、こちらでオールセラミックに入れ替えて綺麗になりとても嬉しいです。 また、海外から一時帰国中での治療…
続きを読む
2025.05.26
お知らせ
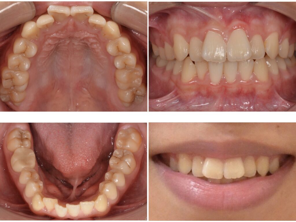
全体的に綺麗に治したい 30代女性 2025.5.26
主訴・術前 全体的に綺麗に治したい 術後の患者様の感想 矯正治療で歯並びが綺麗になっただけでなく、銀歯を外してセラミックに変えたり、ホワイトニングで全体的に白くきれいになった事で顔の印象が凄く変わりとても満足しています。 治療情報 主訴 全…
続きを読む
2025.05.21
お知らせ
認知症と歯周病について 2025.05.21
【芸能人が好む矯正治療】 皆様、こんにちは。 コンシェルジュの早川です。 だんだん暑さが増す頃となりましたが皆様はいかがお過ごしでしょうか🍃 本日は、認知症と歯周病についてです🦷 認知症の発症や重症化は歯周病…
続きを読む
2025.05.20
お知らせ
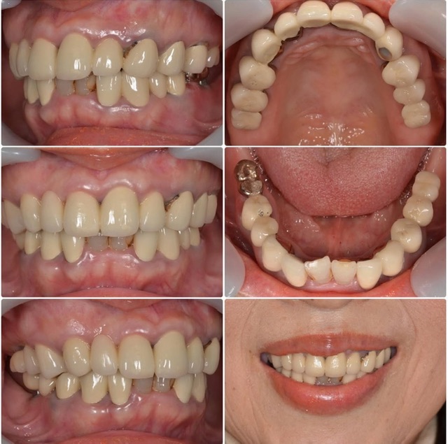
全体的に治したい 60代女性 2025.5.20
主訴・術前 全体的に治したい 術後の患者様の感想 元の自分の歯が思い出せないくらい綺麗になってびっくりしました。 スケジュール調整もしっかりしていただいてとても通いやすかったです。 家から距離はあるのですが何かあったときのために自宅近くの病…
続きを読む
2025.05.19
お知らせ
セラミック、噛み合わせが気になる 60代女性 2025.5.19
主訴・術前 セラミック、噛み合わせが気になる。 術後の患者様の感想 数年前にマウスピース矯正を行ったのですが、噛み合わせが合っていなく気になっていました。また、10年前に治療したラミネートベニアも劣化して色が気になっていたので、今回こちらで…
続きを読む
20 / 168
«
前へ
...
10
...
18
19
20
21
22
...
30
40
50
...
次へ
»