03-3585-0081
WEB予約
無料メール相談
公式LINE
ホーム
治療メニュー
症例紹介
当院のご紹介
院長・スタッフ紹介
設備紹介
診療時間・アクセス
Menu
診療時間・アクセス
公式LINE
電話する
お問い合わせ
歯科治療例
医院案内
コンセプト・理念
ビジネスマンや経営者の方へ
モデル・芸能関係の方へ
アスリートの方へ
患者様へのおもてなし
院長・スタッフ紹介
院内紹介
設備紹介
院内技工
治療メニュー
インプラント
審美メニュー
-審美(エステティック)
-オールセラミック
-ヴィーナスベニア
-ホワイトニング
矯正歯科メニュー
-矯正歯科
-小児矯正
-成人矯正(ワイヤー矯正)
-マウスピース型矯正
-部分矯正
歯周病
オーダーメイド歯科
噛み合わせ
ボトックス
予防治療メニュー
-予防治療
-歯科ドック
-歯石取り・クリーニング
痛みの少ないレーザー
虫歯
口腔外科
小児歯科
料金表メニュー
費用・料金表
詰め物・被せ物
矯正歯科
インプラント
ホワイトニング
治療例
治療例一覧
インプラント
矯正歯科
審美歯科
採用情報
Recruit
症例集
Case
院内ブログ
Blog
サイトマップ
院内ブログ
Blog
ホーム
>
院内ブログ
院内ブログ
カテゴリ|全て
ブログTOPへ戻る
インプラント|歯科治療例
歯科衛生士の業務
お知らせ
歯科治療例
今週のお花
矯正歯科|歯科治療例
審美治療|歯科治療例
感染予防対策【コロナ等】
設備・機材
院内新聞
活動報告
メディア出演・掲載
コンシェルジュ日誌
歯科技工士の業務
2025.06.03
お知らせ
歯の痛みに悩んでいる40代女性 2025.6.3
主訴・術前 歯の痛みに悩んでいる 術後の患者様の感想 スタッフの方々がとてもやさしくいつも丁寧な言葉を使ってくださるので安心できます。 クリニックはいつも清潔感があり雰囲気がとても良いです。 何より先生がとても丁寧に治療してくださるので安心…
続きを読む
2025.06.02
お知らせ
悪い所は全て治したい2025.6.2
主訴・術前 悪い所は全て治したい。 1年以上歯医者に通えなかった。 虫歯や歯周病があれば治療してその後ホワイトニングやセラミック治療など審美歯科のアドバイスをしてほしい。 診断の結果 行いたい治療がはっきりと決まっていたので患者様のご希望に…
続きを読む
2025.06.02
お知らせ
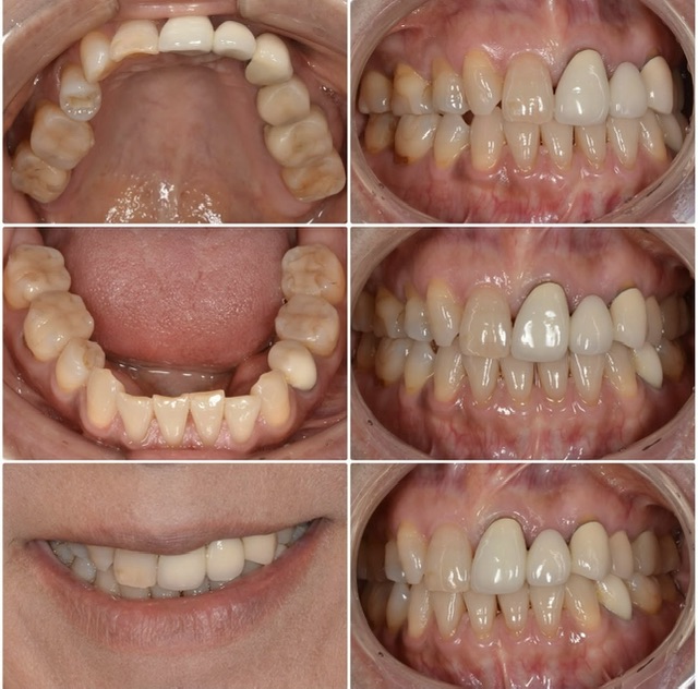
前歯の色と噛み合わせを改善したい 30代女性 2025.6.2
主訴・術前 前歯の色と噛み合わせを改善したい。 術後の患者様の感想 いつもきめ細やかに対応していただき、安心して治療が受けられました。 治療に関しての理想を伝えると、迅速に対応してくださり、理想通りの仕上がりになった事がとても嬉しいです。 …
続きを読む
2025.05.28
お知らせ
港区 お口の健診 2025.05.28
皆様こんにちは。 コンシェルジュの早川です。 初夏の訪れを感じる時期となりましたが、皆様いかがお過ごしでしょうか。☀️ ~お知らせ~ 港区民20歳以上の方を対象とした「お口の検診」 40歳以上の方を対象とした「口…
続きを読む
2025.05.27
お知らせ
歯並びが気になる 50代女性 2025.5.27
主訴・術前 セラミック希望、口元が内側に入って気になる。 術後の患者様の感想 とても綺麗なセラミックを入れていただき、感謝しています。先生をはじめとしたスタッフの方々皆さんの対応が心地よく、いつも快適に通うことができます。 こちらの要望も毎…
続きを読む
19 / 168
«
前へ
...
10
...
17
18
19
20
21
...
30
40
50
...
次へ
»