03-3585-0081
WEB予約
無料メール相談
公式LINE
ホーム
治療メニュー
症例紹介
当院のご紹介
院長・スタッフ紹介
設備紹介
診療時間・アクセス
Menu
診療時間・アクセス
公式LINE
電話する
お問い合わせ
歯科治療例
医院案内
コンセプト・理念
ビジネスマンや経営者の方へ
モデル・芸能関係の方へ
アスリートの方へ
患者様へのおもてなし
院長・スタッフ紹介
院内紹介
設備紹介
院内技工
治療メニュー
インプラント
審美メニュー
-審美(エステティック)
-オールセラミック
-ヴィーナスベニア
-ホワイトニング
矯正歯科メニュー
-矯正歯科
-小児矯正
-成人矯正(ワイヤー矯正)
-マウスピース型矯正
-部分矯正
歯周病
オーダーメイド歯科
噛み合わせ
ボトックス
予防治療メニュー
-予防治療
-歯科ドック
-歯石取り・クリーニング
痛みの少ないレーザー
虫歯
口腔外科
小児歯科
料金表メニュー
費用・料金表
詰め物・被せ物
矯正歯科
インプラント
ホワイトニング
治療例
治療例一覧
インプラント
矯正歯科
審美歯科
採用情報
Recruit
症例集
Case
院内ブログ
Blog
サイトマップ
院内ブログ
Blog
ホーム
>
院内ブログ
院内ブログ
カテゴリ|全て
ブログTOPへ戻る
インプラント|歯科治療例
歯科衛生士の業務
お知らせ
歯科治療例
今週のお花
矯正歯科|歯科治療例
審美治療|歯科治療例
感染予防対策【コロナ等】
設備・機材
院内新聞
活動報告
メディア出演・掲載
コンシェルジュ日誌
歯科技工士の業務
2025.02.05
お知らせ
カカオポリフェノール2025.02.05
【芸能人が好む矯正治療】 皆様、こんにちは。 コンシェルジュの早川です! 2月といえばバレンタインデー🎀ですね! チョコレートにはリラックス効果があり、ほっと一息つきたい時に良いですよね🍫✨ 本…
続きを読む
2025.02.04
お知らせ
アスリートも好む矯正治療 2025.2.4
主訴・術前 噛み合わせが悪く食べ物が詰まりやすい 術後の患者様の感想 いつも丁寧に対応していただいています。親身になってくださる先生やスタッフの皆様のおかげで安心して治療することができます。 日程の調整が多くいつもご連絡させていただいている…
続きを読む
2025.01.31
お知らせ
顎が痛い。前歯が長い。2025.1.31
主訴・術前 顎が痛い。前歯が長い。 術後の患者様の感想 長年の悩みだった顎の痛みが無くなり、肩も軽くなりました。 前歯は仮歯で調整したものと同じ長さにしていただき、ホワイトニング色を選んだので色も形も気に入っています。 私の中では、人生が変…
続きを読む
2025.01.30
お知らせ
悪い所を治したい。60代女性 2025.1.30
主訴・術前 悪い所をすべて治したい。 術後の患者様の感想 悪い所はすべて一気に治療していただき、金属を除去したことでお口も体も軽くなって、治療して良かったと本当に思います。 今の状態を維持できるよう、メンテナンスを頑張りたいと思います。 治…
続きを読む
2025.01.29
審美治療|歯科治療例
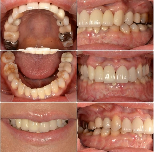
銀歯を口の中から無くしたい。【メタルフリー治療例】50代男性 t787.2016616
術前・主訴 銀歯を口の中から無くしたい。 診断の結果 レントゲンを確認すると銀歯の下には虫歯が多く隠れておりましたが、歯を抜くような処置は無く、ご希望通りのオールセラミックスで補綴治療を行います。金属やプラスチックの治療のように、変色や黒ず…
続きを読む
32 / 168
«
前へ
...
10
20
...
30
31
32
33
34
...
40
50
60
...
次へ
»