03-3585-0081
WEB予約
無料メール相談
公式LINE
ホーム
治療メニュー
症例紹介
当院のご紹介
院長・スタッフ紹介
設備紹介
診療時間・アクセス
Menu
診療時間・アクセス
公式LINE
電話する
お問い合わせ
歯科治療例
医院案内
コンセプト・理念
ビジネスマンや経営者の方へ
モデル・芸能関係の方へ
アスリートの方へ
患者様へのおもてなし
院長・スタッフ紹介
院内紹介
設備紹介
院内技工
治療メニュー
インプラント
審美メニュー
-審美(エステティック)
-オールセラミック
-ヴィーナスベニア
-ホワイトニング
矯正歯科メニュー
-矯正歯科
-小児矯正
-成人矯正(ワイヤー矯正)
-マウスピース型矯正
-部分矯正
歯周病
オーダーメイド歯科
噛み合わせ
ボトックス
予防治療メニュー
-予防治療
-歯科ドック
-歯石取り・クリーニング
痛みの少ないレーザー
虫歯
口腔外科
小児歯科
料金表メニュー
費用・料金表
詰め物・被せ物
矯正歯科
インプラント
ホワイトニング
治療例
治療例一覧
インプラント
矯正歯科
審美歯科
採用情報
Recruit
症例集
Case
院内ブログ
Blog
サイトマップ
お知らせ
Category
ホーム
>
お知らせ
カテゴリ|全て
ブログTOPへ戻る
インプラント|歯科治療例
歯科衛生士の業務
お知らせ
歯科治療例
今週のお花
矯正歯科|歯科治療例
審美治療|歯科治療例
感染予防対策【コロナ等】
設備・機材
院内新聞
活動報告
メディア出演・掲載
コンシェルジュ日誌
歯科技工士の業務
2024.04.30
お知らせ
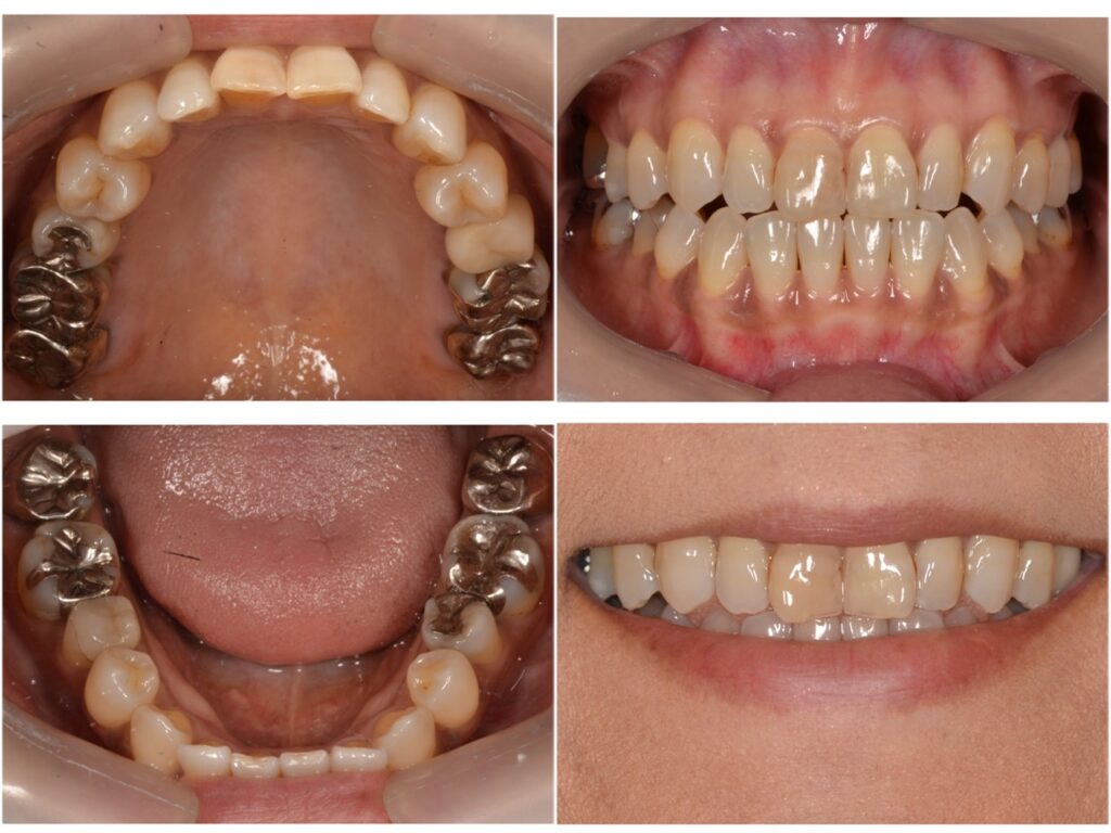
他院の治療をやり直したい 50代女性 2024.4.30
主訴・術前 他院の治療をやり直したい 術後の患者様の感想 他の歯科医院では予約をしても待たされることが多かったのですが、こちらの病院は待ち時間が少なくとても丁寧に時間をかけてみていただけることに嬉しく思いました。 丁寧な説明で分かりやすく今…
続きを読む
2024.04.26
お知らせ
全体的に見て欲しい30代女性2024.4.26
主訴・術前 全体的に診てほしい 術後の患者様の感想 自分の気になるところを治すために様々な処置をしていただきましたが、それぞれが早く処置してくださったのでとても助かりました。 少し待ち時間ができるとスタッフの方と歯科の知識についてやプライベ…
続きを読む
2024.04.24
お知らせ
歯周病治療について2024.04.24
皆様こんにちは。コンシェルジュの早川です。 本日は、歯周病治療についてです。 一度進行してしまった歯周病は、歯の表面だけでなく、歯周ポケットの中まで細菌が溜まっています。 ある程度進行している歯周病であれば、全体の歯周ポケットの中の汚れを除…
続きを読む
2024.04.24
お知らせ
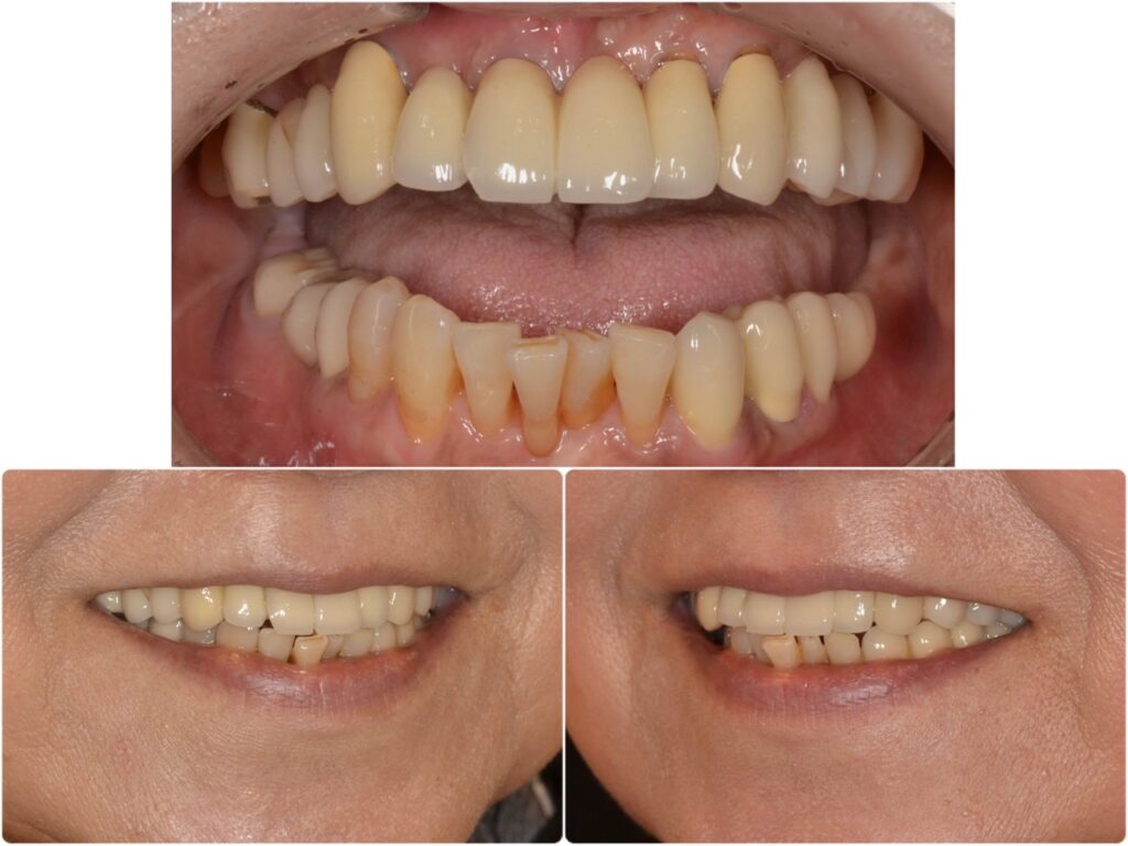
全体的に治療したい60代女性 2024.4.24
主訴・術前 全体的に治したい 術後の患者様の感想 元の自分の歯が思い出せないくらい綺麗になってびっくりしました。 スケジュール調整もしっかりしていただいてとても通いやすかったです。 家から距離はあるのですが何かあったときのために自宅近くの病…
続きを読む
2024.04.23
お知らせ
前歯の歯並びが気になる 50代女性 2024.4.23
主訴・術前 前歯部の歯並びが気になる 術後の患者様の感想 マウスピース矯正やセラミック矯正を行って自分の納得のいく歯並びになることができたので良かったです。 マウスピースに関しては、続けられるか不安でしたが続けることができ、定期的に診ていた…
続きを読む
54 / 117
«
前へ
...
10
20
30
...
52
53
54
55
56
...
60
70
80
...
次へ
»