03-3585-0081
WEB予約
無料メール相談
公式LINE
ホーム
治療メニュー
症例紹介
当院のご紹介
院長・スタッフ紹介
設備紹介
診療時間・アクセス
Menu
診療時間・アクセス
公式LINE
電話する
お問い合わせ
歯科治療例
医院案内
コンセプト・理念
ビジネスマンや経営者の方へ
モデル・芸能関係の方へ
アスリートの方へ
患者様へのおもてなし
院長・スタッフ紹介
院内紹介
設備紹介
院内技工
治療メニュー
インプラント
審美メニュー
-審美(エステティック)
-オールセラミック
-ヴィーナスベニア
-ホワイトニング
矯正歯科メニュー
-矯正歯科
-小児矯正
-成人矯正(ワイヤー矯正)
-マウスピース型矯正
-部分矯正
歯周病
オーダーメイド歯科
噛み合わせ
ボトックス
予防治療メニュー
-予防治療
-歯科ドック
-歯石取り・クリーニング
痛みの少ないレーザー
虫歯
口腔外科
小児歯科
料金表メニュー
費用・料金表
詰め物・被せ物
矯正歯科
インプラント
ホワイトニング
治療例
治療例一覧
インプラント
矯正歯科
審美歯科
採用情報
Recruit
症例集
Case
院内ブログ
Blog
サイトマップ
お知らせ
Category
ホーム
>
お知らせ
カテゴリ|全て
ブログTOPへ戻る
インプラント|歯科治療例
歯科衛生士の業務
お知らせ
歯科治療例
今週のお花
矯正歯科|歯科治療例
審美治療|歯科治療例
感染予防対策【コロナ等】
設備・機材
院内新聞
活動報告
メディア出演・掲載
コンシェルジュ日誌
歯科技工士の業務
2024.04.12
お知らせ
ランチに連れて行って下さいました✨
皆様こんにちは🌷✨歯科衛生士の市川です! 4月になり暖かくなって来ましたね🌸お出かけするのにも気持ちが良いですね🍃 本日はランチに院長先生が六本木にある山都さんへ連れて行ってくだ…
続きを読む
2024.04.12
お知らせ
白く綺麗に治したい(セラミック治療例) 2024.4.12
皆様こんにちは😌✨歯科衛生士の太田です! こちらの患者様は、不揃いな前歯を治し、全体的に白く綺麗に治したいとのことで、当院で治療を行いました。銀歯は全てセラミックに入れ替え、噛み合わせも改善し白く綺麗なお口元へ…
続きを読む
2024.04.10
お知らせ
歯周病と免疫の関係2024.04.10
皆様こんにちは。コンシェルジュの早川です🌸 本日は、歯周病と免疫の関係についてです。 歯周病のなりやすさには、免疫が深く関わっている事をご存じでしょうか。 お口の中には300種類以上もの菌たちがバランスをとり、共生しあってい…
続きを読む
2024.04.09
お知らせ
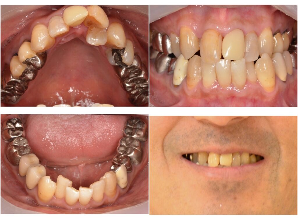
歯並びを改善したい 50代男性 2024.4.9
主訴・術前 歯並びを改善したい 術後の患者様の感想 気になっていた歯並びを改善することができたのでとても満足しています。 銀歯が多く、そこも気になっていましたがセラミックにできたので銀歯の存在も気にすることなく過ごすことができています。 食…
続きを読む
2024.04.08
お知らせ
隙間が気になる 50代女性 2024.4.8
主訴・術前 隙間が気になる 術後の患者様の感想 気になっていた隙間も治り人前に出るのが多い仕事なので全体的に綺麗になったので良かったです。 海外に住んでいるので日本に帰ってきたタイミングで治療をしていただいて気になるところは質問をすればしっ…
続きを読む
56 / 117
«
前へ
...
10
20
30
...
54
55
56
57
58
...
70
80
90
...
次へ
»