03-3585-0081
WEB予約
無料メール相談
公式LINE
ホーム
治療メニュー
症例紹介
当院のご紹介
院長・スタッフ紹介
設備紹介
診療時間・アクセス
Menu
診療時間・アクセス
公式LINE
電話する
お問い合わせ
歯科治療例
医院案内
コンセプト・理念
ビジネスマンや経営者の方へ
モデル・芸能関係の方へ
アスリートの方へ
患者様へのおもてなし
院長・スタッフ紹介
院内紹介
設備紹介
院内技工
治療メニュー
インプラント
審美メニュー
-審美(エステティック)
-オールセラミック
-ヴィーナスベニア
-ホワイトニング
矯正歯科メニュー
-矯正歯科
-小児矯正
-成人矯正(ワイヤー矯正)
-マウスピース型矯正
-部分矯正
歯周病
オーダーメイド歯科
噛み合わせ
ボトックス
予防治療メニュー
-予防治療
-歯科ドック
-歯石取り・クリーニング
痛みの少ないレーザー
虫歯
口腔外科
小児歯科
料金表メニュー
費用・料金表
詰め物・被せ物
矯正歯科
インプラント
ホワイトニング
治療例
治療例一覧
インプラント
矯正歯科
審美歯科
採用情報
Recruit
症例集
Case
院内ブログ
Blog
サイトマップ
院内ブログ
Blog
ホーム
>
院内ブログ
院内ブログ
カテゴリ|全て
ブログTOPへ戻る
インプラント|歯科治療例
歯科衛生士の業務
お知らせ
歯科治療例
今週のお花
矯正歯科|歯科治療例
審美治療|歯科治療例
感染予防対策【コロナ等】
設備・機材
院内新聞
活動報告
メディア出演・掲載
コンシェルジュ日誌
歯科技工士の業務
2024.07.18
お知らせ
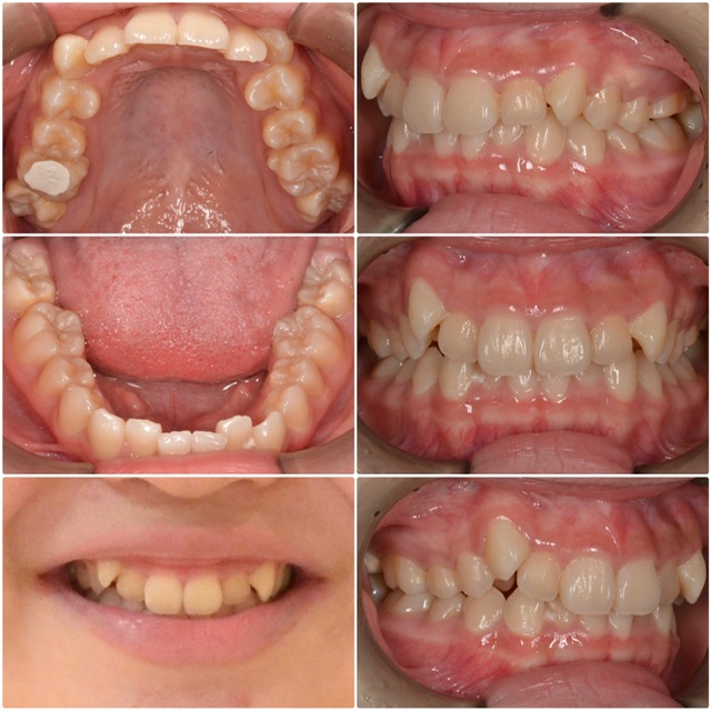
歯並びを綺麗にしたい30代女性 2024.7.18
主訴・術前 歯並びを綺麗に治したい 術後の患者様の感想 長年歯並びの悪さで悩んでいましたが、こちらで矯正治療を行い綺麗に治ってとても嬉しいです。海外出張が多く、度々装置が外れてしまったりもしましたが先生やスタッフの皆さんが丁寧に対応してくだ…
続きを読む
2024.07.12
お知らせ
全体的に綺麗にしたい2024.7.12
主訴・術前 オールセラミックで綺麗にしたい 診断の結果 術後の患者様の感想 今までの歯が思い出せないぐらい綺麗になりました。 スタッフの方々がサポートしていただけたので安心して通う事もできましたし、銀歯や噛み合わせがとても気になっていました…
続きを読む
2024.07.12
お知らせ
噛み合わせが悪い 10代女性 2024.7.12
主訴・術前 噛み合わせが悪い 術後の患者様の感想 歯並びが綺麗になってとても嬉しく思います。 噛み合わせも気になっていましたがきちんとした噛み合わせになり食事も楽になりました。 歯の神経の治療も一緒に行っていただきましたが痛みも少なく悪い所…
続きを読む
2024.07.11
お知らせ
全体的に診て欲しい 40代男性 2024.7.11
主訴・術前 全体的に診てほしい 術後の患者様の感想 いつもご丁寧に対応いただき感謝しております。仕事の都合でスケジュールの調整が必要な時も、スムーズに対応いただいてとても安心して通院できました。 これからも、定期的にメンテナンスに通い綺麗な…
続きを読む
2024.07.10
お知らせ
病的口臭について 2024.07.10
皆様こんにちは。 コンシェルジュの早川です! 本日は、病的口臭についてです。 胃腸など消化器系の病気、口の中では、虫歯や適合の悪い被せものをしている場合がありますが、こうしたいろいろな病気のなかでも、もっとも口臭の原因となりやすいのは、歯周…
続きを読む
55 / 168
«
前へ
...
10
20
30
...
53
54
55
56
57
...
60
70
80
...
次へ
»