03-3585-0081
WEB予約
無料メール相談
公式LINE
ホーム
治療メニュー
症例紹介
当院のご紹介
院長・スタッフ紹介
設備紹介
診療時間・アクセス
Menu
診療時間・アクセス
公式LINE
電話する
お問い合わせ
歯科治療例
医院案内
コンセプト・理念
ビジネスマンや経営者の方へ
モデル・芸能関係の方へ
アスリートの方へ
患者様へのおもてなし
院長・スタッフ紹介
院内紹介
設備紹介
院内技工
治療メニュー
インプラント
審美メニュー
-審美(エステティック)
-オールセラミック
-ヴィーナスベニア
-ホワイトニング
矯正歯科メニュー
-矯正歯科
-小児矯正
-成人矯正(ワイヤー矯正)
-マウスピース型矯正
-部分矯正
歯周病
オーダーメイド歯科
噛み合わせ
ボトックス
予防治療メニュー
-予防治療
-歯科ドック
-歯石取り・クリーニング
痛みの少ないレーザー
虫歯
口腔外科
小児歯科
料金表メニュー
費用・料金表
詰め物・被せ物
矯正歯科
インプラント
ホワイトニング
治療例
治療例一覧
インプラント
矯正歯科
審美歯科
採用情報
Recruit
症例集
Case
院内ブログ
Blog
サイトマップ
院内ブログ
Blog
ホーム
>
院内ブログ
院内ブログ
カテゴリ|全て
ブログTOPへ戻る
インプラント|歯科治療例
歯科衛生士の業務
お知らせ
歯科治療例
今週のお花
矯正歯科|歯科治療例
審美治療|歯科治療例
感染予防対策【コロナ等】
設備・機材
院内新聞
活動報告
メディア出演・掲載
コンシェルジュ日誌
歯科技工士の業務
2024.06.18
お知らせ
歯並びが気になる 50代女性 2024.6.18
主訴・術前 前歯部の歯並びが気になる 術後の患者様の感想 マウスピース矯正やセラミック矯正を行って自分の納得のいく歯並びになることができたので良かったです。 マウスピースに関しては、続けられるか不安でしたが続けることができ、定期的に診ていた…
続きを読む
2024.06.17
お知らせ
全体的に診て欲しい 30代女性 2024.6.17
主訴・術前 全体的に診てほしい 術後の患者様の感想 自分の気になるところを治すために様々な処置をしていただきましたが、それぞれが早く処置してくださったのでとても助かりました。 少し待ち時間ができるとスタッフの方と歯科の知識についてやプライベ…
続きを読む
2024.06.14
お知らせ
噛み合わせが悪い2024.6.14
主訴・術前 噛み合わせが悪い 術後の患者様の感想 歯並びが綺麗になってとても嬉しく思います。 噛み合わせも気になっていましたがきちんとした噛み合わせになり食事も楽になりました。 歯の神経の治療も一緒に行っていただきましたが痛みも少なく悪い所…
続きを読む
2024.06.12
お知らせ
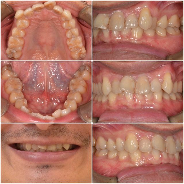
歯並びが気になる 40代男性 2024.6.12
主訴・術前 歯並びが気になる 術後の患者様の感想 歯並びがずっと気になっていて知り合いに紹介していただきました。 マウスピース矯正とワイヤー矯正を迷っていたのですが、目立ちにくいマウスピース矯正を行い綺麗な歯並びになったので嬉しく思います。…
続きを読む
2024.06.07
お知らせ
上前歯他院で治療中だが、仮歯気になる。2024.6.7
主訴・術前 上の前歯、他院で治療中だが仮歯気になる。 術後の患者様の感想 他院で仮歯を入れていただきましたが、形が気に入らず心配だったのでこちらに相談しに来ましたが、とても親切に話を聞いて下さり希望の形に添って何度も合わせて作って頂き、形も…
続きを読む
58 / 168
«
前へ
...
10
20
30
...
56
57
58
59
60
...
70
80
90
...
次へ
»