03-3585-0081
WEB予約
無料メール相談
公式LINE
ホーム
治療メニュー
症例紹介
当院のご紹介
院長・スタッフ紹介
設備紹介
診療時間・アクセス
Menu
診療時間・アクセス
公式LINE
電話する
お問い合わせ
歯科治療例
医院案内
コンセプト・理念
ビジネスマンや経営者の方へ
モデル・芸能関係の方へ
アスリートの方へ
患者様へのおもてなし
院長・スタッフ紹介
院内紹介
設備紹介
院内技工
治療メニュー
インプラント
審美メニュー
-審美(エステティック)
-オールセラミック
-ヴィーナスベニア
-ホワイトニング
矯正歯科メニュー
-矯正歯科
-小児矯正
-成人矯正(ワイヤー矯正)
-マウスピース型矯正
-部分矯正
歯周病
オーダーメイド歯科
噛み合わせ
ボトックス
予防治療メニュー
-予防治療
-歯科ドック
-歯石取り・クリーニング
痛みの少ないレーザー
虫歯
口腔外科
小児歯科
料金表メニュー
費用・料金表
詰め物・被せ物
矯正歯科
インプラント
ホワイトニング
治療例
治療例一覧
インプラント
矯正歯科
審美歯科
採用情報
Recruit
症例集
Case
院内ブログ
Blog
サイトマップ
院内ブログ
Blog
ホーム
>
院内ブログ
院内ブログ
カテゴリ|全て
ブログTOPへ戻る
インプラント|歯科治療例
歯科衛生士の業務
お知らせ
歯科治療例
今週のお花
矯正歯科|歯科治療例
審美治療|歯科治療例
感染予防対策【コロナ等】
設備・機材
院内新聞
活動報告
メディア出演・掲載
コンシェルジュ日誌
歯科技工士の業務
2024.10.11
お知らせ
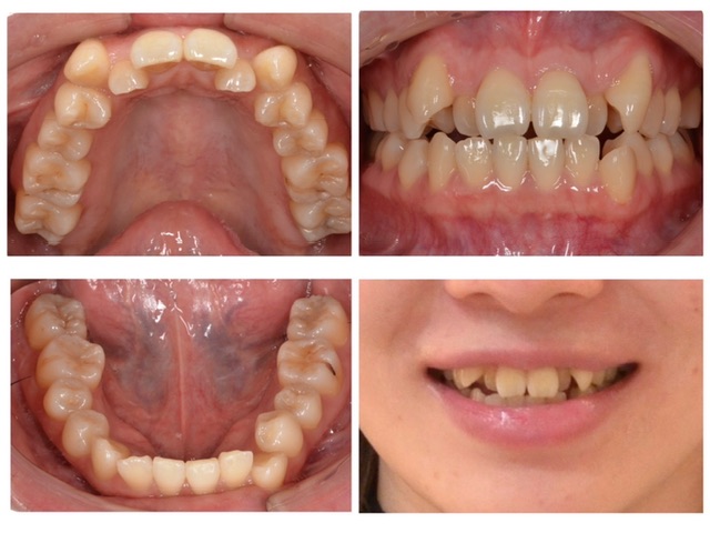
歯並びが気になる2024.10.11
主訴・術前 歯並びが気になる 術後の患者様の感想 気になっていた歯並びが綺麗になったのでとても嬉しく思います。歯の形や大きさなど質問をするたびに教えてくれたので矯正治療を行いながら知識はついたかなと思います。 ワイヤーが外れたり装置が取れて…
続きを読む
2024.10.09
お知らせ
秋の味覚 2024.10.09
皆様、こんにちは。コンシェルジュの早川です。 いつの間にか季節はすっかり秋模様となってきましたね🍂 秋と言えば食欲の秋ですね!美味しい食べ物が食卓を彩る季節。 秋の味覚には美味しいだけではなく、歯を丈夫にする食材が沢山あるの…
続きを読む
2024.10.08
お知らせ
全体的に綺麗にしたい 60代男性 2024.10.8
主訴・術前 他院で治療したかぶせ物が気に入らない、喋りにくい。 全体的に治療してほしい。 術後の患者様の感想 噛み合わせが合わず食事がしにくかったのですが、治療後は噛み合わせが安定し、美味しく食べられるようになりよかったです。 また滑舌が悪…
続きを読む
2024.10.07
お知らせ
全体的に綺麗にしたい50代女性 2024.10.7
主訴・術前 人前に出る仕事をしているため全体的に綺麗にしたい。 診断の結果 他院で治療中だが全体的に見てほしいとのことで来院。 全体的に前に歯が出ているため全て綺麗なセラミックに置き換え噛み合わせなど気になるところを改善いたしました。 術後…
続きを読む
2024.10.04
お知らせ
歯並びを綺麗にしたい2024.10.4
主訴・術前 歯並びを綺麗にしたい 術後の患者様の感想 短期間で綺麗になってとても嬉しかったです。 一つ一つ丁寧に診てくださり、自分の希望に沿って的確なアドバイスをして下さったので、とても安心出来ました。 理想の歯並びになり、とても嬉しいです…
続きを読む
46 / 168
«
前へ
...
10
20
30
...
44
45
46
47
48
...
60
70
80
...
次へ
»