03-3585-0081
WEB予約
無料メール相談
公式LINE
ホーム
治療メニュー
症例紹介
当院のご紹介
院長・スタッフ紹介
設備紹介
診療時間・アクセス
Menu
診療時間・アクセス
公式LINE
電話する
お問い合わせ
歯科治療例
医院案内
コンセプト・理念
ビジネスマンや経営者の方へ
モデル・芸能関係の方へ
アスリートの方へ
患者様へのおもてなし
院長・スタッフ紹介
院内紹介
設備紹介
院内技工
治療メニュー
インプラント
審美メニュー
-審美(エステティック)
-オールセラミック
-ヴィーナスベニア
-ホワイトニング
矯正歯科メニュー
-矯正歯科
-小児矯正
-成人矯正(ワイヤー矯正)
-マウスピース型矯正
-部分矯正
歯周病
オーダーメイド歯科
噛み合わせ
ボトックス
予防治療メニュー
-予防治療
-歯科ドック
-歯石取り・クリーニング
痛みの少ないレーザー
虫歯
口腔外科
小児歯科
料金表メニュー
費用・料金表
詰め物・被せ物
矯正歯科
インプラント
ホワイトニング
治療例
治療例一覧
インプラント
矯正歯科
審美歯科
採用情報
Recruit
症例集
Case
院内ブログ
Blog
サイトマップ
院内ブログ
Blog
ホーム
>
院内ブログ
院内ブログ
カテゴリ|全て
ブログTOPへ戻る
インプラント|歯科治療例
歯科衛生士の業務
お知らせ
歯科治療例
今週のお花
矯正歯科|歯科治療例
審美治療|歯科治療例
感染予防対策【コロナ等】
設備・機材
院内新聞
活動報告
メディア出演・掲載
コンシェルジュ日誌
歯科技工士の業務
2024.10.21
お知らせ
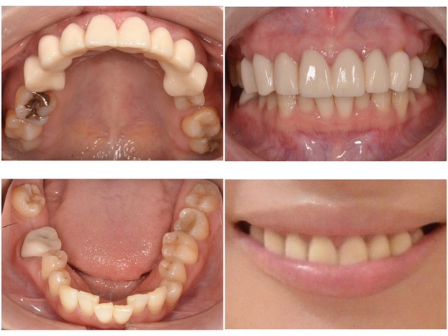
歯の痛みに悩んでいる40代女性 2024.10.21
主訴・術前 歯の痛みに悩んでいる 術後の患者様の感想 スタッフの方々がとてもやさしくいつも丁寧な言葉を使ってくださるので安心できます。 クリニックはいつも清潔感があり雰囲気がとても良いです。 何より先生がとても丁寧に治療してくださるので安心…
続きを読む
2024.10.18
お知らせ
悪いところは短期間で治療を終了したい2024.10.18
主訴・術前 悪い所は短期間で治療を終了したい 術後の患者様の感想 全体的に治療していただいたのにもかかわらず一年以内に治療が終了して驚きました。 歯周治療では歯の磨き方や道具の使い方など1から教えていただけたので今後も歯磨きを頑張ろうと思い…
続きを読む
2024.10.17
お知らせ
歯並びを治したい 30代女性 2024.10.17
主訴・術前 歯並びを治したい 術後の患者様の感想 審美、機能面ともに10年ほど悩んでおり、このコンプレックスは解消できないと諦めていたところにこのクリニック、先生方に出会いました。悩んでいたコンプレックスはすべて解消され、特に岩城先生の審美…
続きを読む
2024.10.16
お知らせ
人前に出られるような歯にしたい 50代男性 2024.10.16
主訴・術前 人前に出て恥ずかしくないようにしたい 術後の患者様の感想 皆様がとても丁寧で嬉しく思います。 すぐにサポートして頂き、スケジュール調整もすぐに行ってくださったのでとても助かりました。 インプラントに興味はありましたが深い知識はな…
続きを読む
2024.10.16
お知らせ
健康に役立つ咀嚼の日 2024.10.16
皆様こんにちは。 コンシェルジュの早川です🌟 さて、10月は食欲の秋で健康のためには一口(10)で30回咬むことが推奨されていることから、10月30日は「健康に役立つ咀嚼の日」なんだそうです!🦷 まず咀嚼とは…
続きを読む
45 / 168
«
前へ
...
10
20
30
...
43
44
45
46
47
...
50
60
70
...
次へ
»