03-3585-0081
WEB予約
無料メール相談
公式LINE
ホーム
治療メニュー
症例紹介
当院のご紹介
院長・スタッフ紹介
設備紹介
診療時間・アクセス
Menu
診療時間・アクセス
公式LINE
電話する
お問い合わせ
歯科治療例
医院案内
コンセプト・理念
ビジネスマンや経営者の方へ
モデル・芸能関係の方へ
アスリートの方へ
患者様へのおもてなし
院長・スタッフ紹介
院内紹介
設備紹介
院内技工
治療メニュー
インプラント
審美メニュー
-審美(エステティック)
-オールセラミック
-ヴィーナスベニア
-ホワイトニング
矯正歯科メニュー
-矯正歯科
-小児矯正
-成人矯正(ワイヤー矯正)
-マウスピース型矯正
-部分矯正
歯周病
オーダーメイド歯科
噛み合わせ
ボトックス
予防治療メニュー
-予防治療
-歯科ドック
-歯石取り・クリーニング
痛みの少ないレーザー
虫歯
口腔外科
小児歯科
料金表メニュー
費用・料金表
詰め物・被せ物
矯正歯科
インプラント
ホワイトニング
治療例
治療例一覧
インプラント
矯正歯科
審美歯科
採用情報
Recruit
症例集
Case
院内ブログ
Blog
サイトマップ
院内ブログ
Blog
ホーム
>
院内ブログ
院内ブログ
カテゴリ|全て
ブログTOPへ戻る
インプラント|歯科治療例
歯科衛生士の業務
お知らせ
歯科治療例
今週のお花
矯正歯科|歯科治療例
審美治療|歯科治療例
感染予防対策【コロナ等】
設備・機材
院内新聞
活動報告
メディア出演・掲載
コンシェルジュ日誌
歯科技工士の業務
2026.01.27
審美治療|歯科治療例
不揃いな前歯を治したい 50代女性 2026.1.27
主訴・術前 不揃いな前歯を治したい。 術後の患者様の感想 笑った時に見える歯が細く小さいのがコンプレックスでしたが、矯正治療を行わずにバランスの取れた憧れの白い歯になり感動しました。 また院長先生がとても丁寧で優しく接してく…
続きを読む
2026.01.21
インプラント|歯科治療例
メタルフリー推奨 2026.1.21
【セレブに人気のセラミック治療】 皆様こんにちは。 コンシェルジュの早川です。 本日は、セラミックと銀歯の違いについてです。 当院では、お口の中から金属を減らす「メタルフリー治療」を推奨しています🦷✨ 理由は、「今だけでなく、10年・20年…
続きを読む
2026.01.16
審美治療|歯科治療例
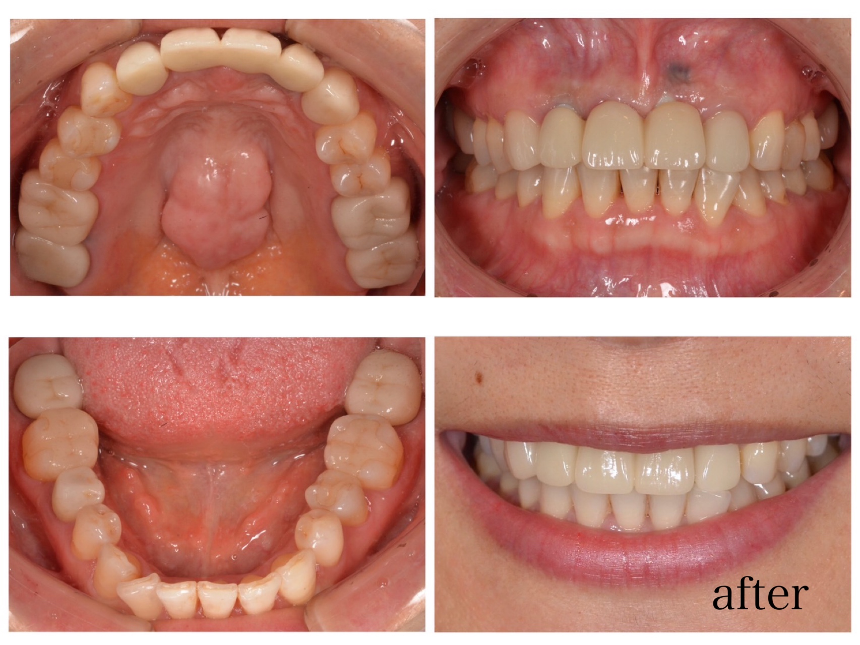
前歯の虫歯が痛い。【セラミック治療例】30代男性 t342.20130307
術前・主訴 前歯の虫歯が痛い。 診断の結果 虫歯は深く神経まで達しており、根の治療が必要。 また、歯の汚れや歯茎の腫れがあり、 歯科衛生士による歯周治療と的確なブラッシング指導を行う。 神経をきれいに取り除き土台を装着 診断の通り虫歯は神経…
続きを読む
2026.01.16
審美治療|歯科治療例
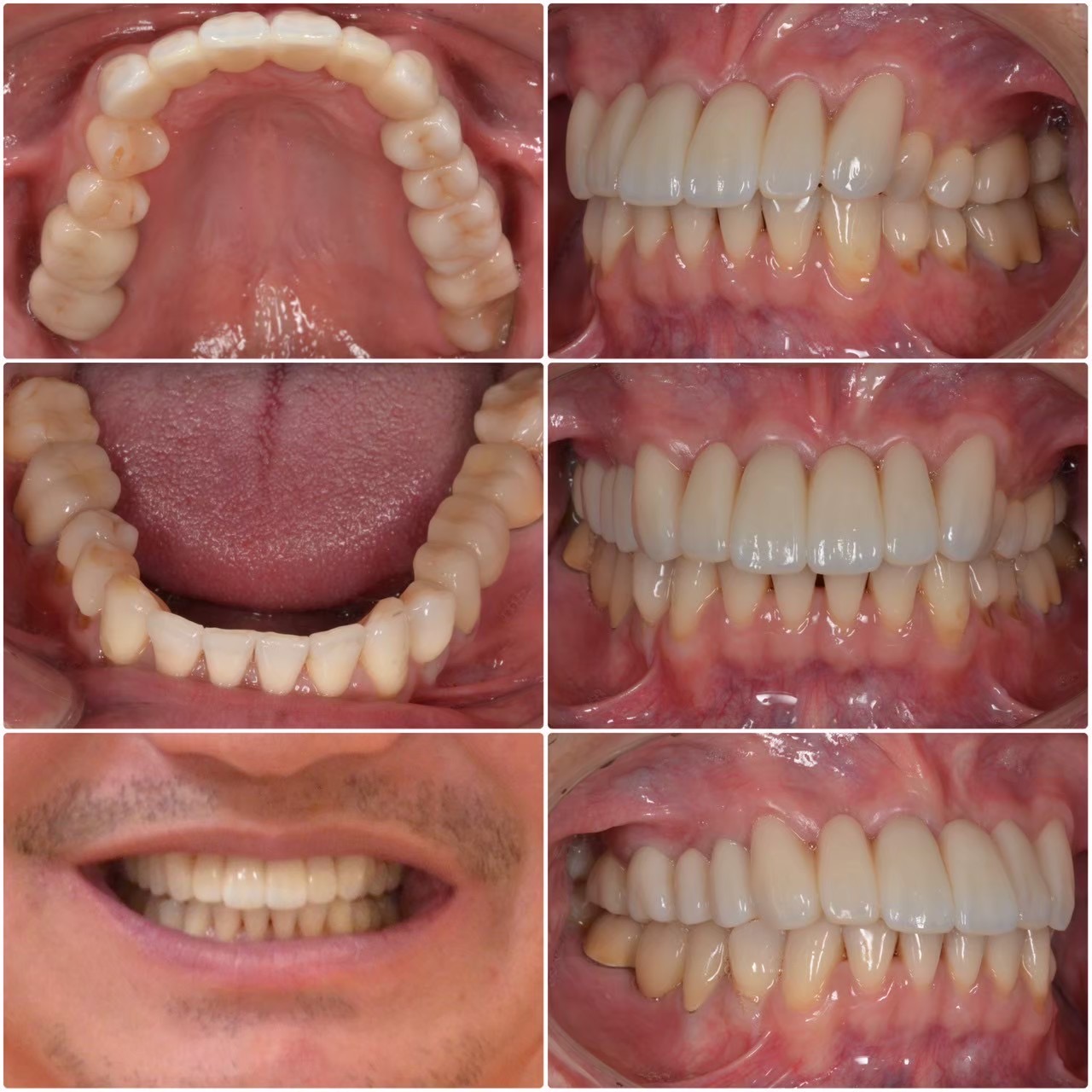
歯を綺麗にしたい 40代男性 2026.1.16
主訴・術前 歯を綺麗にしたい 診断の結果 術後の患者様の感想 気になっていたところがすべて治ったのでとても嬉しかったです。 自分の気になるところと先生がやったほうがいいと思うところと様々な意見が聞けたので勉強にもなりました。 また、定期検診…
続きを読む
2026.01.16
コンシェルジュ日誌
医療費控除とは 2026.1.16
【芸能人に人気のセラミック治療】 皆様、こんにちは。 コンシェルジュの早川です。 🦷歯科治療も医療費控除の対象になることをご存じですか? 1年間に支払った医療費が一定額を超えた場合、 確定申告を行うことで、所得税や住民税の…
続きを読む
6 / 168
«
前へ
...
4
5
6
7
8
...
20
30
40
...
次へ
»